På kreftlex.no bruker vi informasjonskapsler for samle inn nettstatisikk for å forbedre nettsiden og måle hvor godt den fungerer. Ved å benytte kreftlex.no godkjenner du dette.

Skriv ut

Medisinsk behandling ved nevroendokrine neoplasmer

Biologiske medikamenter

Dette er medisiner som består av stoffer som finnes naturlig i kroppen, eller kunstig framstilte stoffer med samme virkning. I dag er det to hovedtyper biologiske medikamenter som brukes mest:

  • Kunstig (syntetisk) framstilte medikamenter som har samme virkning og egenskaper som somatostatin (somatostatinanaloger)
  • mTOR- og tyrosin kinase-hemmere

Begge medikamentene kan virke veksthemmende eller få svulsten til å minske i størrelse.

Somatostatinlignende medikamenter (somatostatinanaloger)

Somatostatin er et hormon som hemmer utskillelse av veksthormon og undertrykker blant annet frigjøring av en rekke andre hormoner i mage- og tarmkanalen samt bukspyttkjertelen.

De fleste nevroendokrine neoplasmene har reseptorer (mottakere) som somatostatin kan binde seg til. Denne bindingen kan gjøre at svulsten stopper å vokse eller skrumper. Behandlingen tolereres vanligvis meget godt, de vanligste bivirkningene er diaré, kvalme og tendens til gallestener.

Det vanligste somatostatinlignende medikamentene er SAndostatinLAR®, Ipstyl® og Myrelez® oktreotid. Disse preparatene gis som sprøyte vanligvis hver 28. dag, av og til oftere. Pasienten kan læres opp til å sette sprøyten selv, alternativt kan partnere (for eksempel ektefelle) eller helsepersonell sette sprøyten.

Somatostatinvirkende medikamenter har ofte umiddelbar effekt på hormonelle symptomer, som diaré og raskt forbigående blodtilstrømning og rødhet i ansiktet eller på halsen (flushing). Disse medikamentene har også en veksthemmende effekt, hos de fleste stopper veksten av svulstene. En sjelden gang blir svulstene mindre. De vanligste bivirkningene er diaré og luftsmerter i magen.

mTOR- og Tyrosinkinasehemmere

Medikamentene Afinitor® (everolimus) og Sutent® (sunitinib) kan være effektive i å stoppe vekst av svulstene. De virker inn på prosesser i kreftcellene som er viktige for vekst, for eksempel hemmer de veksten av blodårere som må følge svulsten når den vokser. Ved å hemme dannelsen av disse blodårene får ikke kreftcellene nok næring til å vokse videre. Dissemedikamenten har noe mer bivirkninger enn somatostatinanalogene og prøve følgelig oftest etter at pasienten har prøvs somatostatinanaloger.

Effekten av biologiske medikamenter

Rundt 80 % av pasientene som behandles med disse medikamenten har effekt, det vil si at veksten stopper, av og til også at svulstene skrumper. Varigheten av effekten er i snitt cirka 1 år. Enkelte pasienter har imidlertid svært langvarig effekt og kan ha effekt i årevis. Vi greier ikke på forhånd å identifisere hvilke pasienter som vil ha, eller ikke vil ha, effekt av de forskjellige medikamentene.

Cellegiftbehandling

Cellegift kan ha effekt, særlig på svulster med høy Ki-67 %.

Vanligste behandlingsregimer

Temozolomid/capecitabin

Kombinasjonen synes å ha god virkning på nevroendokine svulster med KI-67 over 10–15%, av og til også ved sulter med lavere KI-67%. Kuren brukes også ved nevroendokrine karcinomer med ikke for høy Ki-67%, Fordelen med denne kombinasjonen er at den er lite skadelig for nyrene og gis som tabletter som pasienten kan ta hjemme. Behandlingskontroll gjøres vanligvis med CT, hver 3. måned.

5- Flurouracil (5-FU) i kombinasjon med Streptozocin

Kuren gis som en 5-dagers behandling, etterfulgt av 1-dags behandlinger hver 3. (–4.) uke. Behandlingskontroll gjøres vanligvis med CT, hver 3. måned. Ved effekt over 1 år forlenges mellomrommet mellom 1-dags behandlingene opptil 6 uker.

  • Ved nevroendokrine bukspyttkjertelsvulster ses tilbakegang ses hos 40–60 %, gjennomsnittlig tid til sykdomsprogresjon er 4–12 måneder.
  • Ved nevroendokrine svulster utgått fra tarm ses regresjon hos 6–33 %, gjennomsnittlig tid til sykdomsprogresjon er 3–8 måneder.

Karboplatin i kombinasjon med etoposid

Dette er 2. eller 3. linjes valg av cellegift for høyt differensierte svulster og 1. linje valg ved lavt differensierte karsinomer fra alle organer. Kuren gis som 3-dagers behandlinger, med 3 ukers mellomrom. Ved effekt gis 4–6 behandlinger med pause frem til sykdomsprogresjon, for så å starte med nye 3-dagers behandlinger med 3 ukers mellomrom.

Andre regimer

Det finnes flere studier som viser varierende grad av effekt av en rekke forskjellige cytostatika og kombinasjoner av cytostatika. 

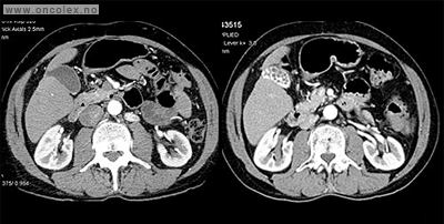
Bildeeksempler

 

Informasjonen du finner i Kreftlex er utelukkende av generell karakter og erstatter ikke kontakt med, eller undersøkelse og behandling, hos autorisert helsepersonell.
Institutt for kreftgenetikk og informatikk © 2026
Lag en lenke til Kreftlex fra din mobil