På kreftlex.no bruker vi informasjonskapsler for samle inn nettstatisikk for å forbedre nettsiden og måle hvor godt den fungerer. Ved å benytte kreftlex.no godkjenner du dette.

Skriv ut

Utredning ved benmargskreft (myelomatose)

Ved utredning av benmargskreft gjøres kliniske undersøkelser, bildediagnostiske undersøkelser, blodprøver og benmargsundersøkelse.

Kliniske undersøkelser

Legen gjør en generell klinisk undersøkelse av pasienten. Skjelettsmerter, blodmangel (anemi) og senkningsreaksjon bør utredes. Nyoppdaget nyresvikt eller forhøyet innhold av kalsium i blodet bør også undersøkes videre.

Blodprøver inkludert beta-2 mikroglobulin og eventuelt urinprøver tas. Elektroforese gjøres for å måle M-komponenten i serum og urin. Måling av M-komponent er viktig ved utredningen av sykdommen og for å se effekt av behandling. Urinelektroforese er ikke nødvendig i rutinepasienter. man måler i stedet nivå av frie lette kjeder.

Bildediagnostikk

Lavdose-CT ("CT myelomatose). Innebærer lavdose-CT fra knær til isse (vertex).

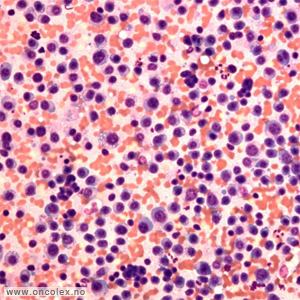
Lysmikroskopibilde av farget benmarg fra pasient med benmargskreft. Plasmacellene ved benmargskreft har ofte umodent utseende med sentral kjerne og tydelige kjernelegemer.

Celle- og vevsprøver

Benmargsundersøkelse omfatter vanligvis celle- og vevsprøve fra hoftekammen (crista iliaca).

Benmargskreft bekreftes med økt antall plasmaceller i benmargen, samtidig som man fyller minst ett annet kriterium (anemi, nyresvikt, hyperkalsemi, radiologiske funn, høy FLC_ratio og /eller > 60% plasmaceller i benmargen. Avgrensning overfor enkelte andre tilstander med monoklonalt immunglobulin i serum, med eller uten økt plasmacelleandel i benmargen, og primær amyloidose er av og til vanskelig. Det er viktig å huske på at de fleste organmanifestasjoner kan ha andre årsaker, og sammenheng med plasmacelleklonen må sannsynliggjøres.

Plasmacellene ved benmargskreft har ofte umodent utseende med sentral kjerne. Det kan være flere kjerner i hver celle. Immunhistokjemiske undersøkelser kan bekrefte om cellene stammer fra samme klon.

Plasmacellenes produksjon av M-komponent gir et karakteristisk mønster i serum. Nesten 80 % av pasientene utskiller M-komponent (monoklonalt komplett immunglobulin) til serum. De fleste skiller samtidig ut Bence-Jones protein i urinen.

Sykdomsprosessen ved benmargskreft medfører gjensidig cytokinpåvirkning i benmargen mellom ulike celler. Dette fører til vekst av den ondartede klon, ødeleggelse av benvev, nedsatt produksjon av normale blodceller og eventuelt spontane brudd.

Ytterligere mutasjoner med aktivering av onkogener, tap av tumorsuppressorgener og hemming av naturlig celledød (apoptose) muliggjør spredning av tumorcellene. Samtidig undertrykkes produksjonen av det normale blodcelledannende vevet som etterhvert kan føre til benmargssvikt hvor røde og hvite blodceller, samt blodplater er redusert. 

Inndeling

Ulmende myelomatose/benmargskreft

Ved ulmende myelomatose uten symptomer er M-komponent mer enn 30 g/l og/eller mer enn 10 % plasmaceller i benmargsprøve, uten organpåvirkning eller andre kriterier for behandling.

Aktiv myelomatose/benmargskreft

Ved aktiv myelomatose/benmargskreft finner man monoklonale plasmaceller i benmargsutrekk eller vevsprøve (>10%) med i tillegg et av følgende funn: anemi, nyresvikt, hypercalcemi, funn på MR og/eller CT, høy FLC-ratio og/eller > 60% plasmaceller i benmarg. 

Enkeltstående ondartet svulst (plasmacytom)

Enkeltstående plasmacelletumor bestående av monoklonale plasmaceller uten andre tegn til benmargskreft.

Plasmacelleleukemi

Benmargskreft der mer enn 5 % av leukocyttene i perifert blod består av plasmaceller.

Non-sekretorisk benmargskreft

Hos cirka 1% av pasientene med ved non-sekretorisk benmargskreft påvises ingen M-komponent. Immunfluorescens eller immunhistokjemisk undersøkelse av benmargen vil i slike tilfelle nesten alltid vise at plasmacellene inneholder M-komponent. Kriteriene for benmargskreft er de samme. 

Lett kjede-sykdom

Cirka 20 % av pasientene skiller ikke ut komplett immunglobulin, men bare deler av immunglobulinet (monoklonale frie lette kjeder). Lette kjeder har så lav molekylvekt at de utskilles via nyrene. Det blir i slike tilfeller liten opphopning i serum og derfor nesten ingen M-komponent i serum. Denne typen myelomatose kalles lett kjede sykdom.

Frie lette kjeder er skadelig eller giftige for nyrene. De kan avleires i vev og gi organskade. Mange pasienter med lett kjede-sykdom blir innlagt i sykehus for utredning av nyresvikt. Det anbefales at alle pasienter med uforklart nyresvikt og påvist økte lette kjeder utredes med benmargsprøve.

AL-amyloidose

Det finnes en type amyloidose, såkalt AL-amyloidose, som er forbundet med sykdom hvor monoklonale plasmaceller produserer monoklonale lette kjeder. AL står for "amyloide lette kjeder". Fragmenter av de monoklonale lette kjedene avleires i vevene og påvirker organfunksjoner. Ofte finnes det små mengder frie lette kjeder i serum og/eller i urinen når man undersøker med spesielle metoder. Man kan finne bare en lett plasmacelleøkning i benmargen og sykdommen kan være tilstede med eller uten samtidig benmargskreft. Det er viktig at disse blir utredet og behandlet. 

Les mer om de ulike typer benmargskreft
Informasjonen du finner i Kreftlex er utelukkende av generell karakter og erstatter ikke kontakt med, eller undersøkelse og behandling, hos autorisert helsepersonell.
Institutt for kreftgenetikk og informatikk © 2026
Lag en lenke til Kreftlex fra din mobil