For å endre tekststørrelsen, hold Ctrl-tasten nede (Cmd-tasten på Mac) og trykk på + for å forstørre eller - for å forminske, 0 for å tilbakestille.
Skriv ut
Utredning ved kreft i skjeden
Ved utredning av kreft i skjeden må pasienten gjennomgå klinisk undersøkelse, bildediagnostiske undersøkelser og vevsprøvetaking. Hensikten med de ulike undersøkelsene er å anslå svulstens celletype, utbredelse og eventuell forekomst av spredning for å kunne bestemme videre behandling.
Klinisk undersøkelse
Som basis for videre utredning gjør legen en klinisk inspeksjon og palpasjon i narkose. Det tas blodprøver. Videre utføres kolposkopi og cystosopi.
Bildediagnostikk
CT toraks og CT bekken/buk tas av alle pasienter for å vurdere eventuell fjernspredning, og for å vurdere drenering til nyrene. Ved uttalt vann-nyre, med økt ansamling av urin i nyrevev og nyrebekken på grunn av at urinavløpet er hindret (hydronefrose) eller ved urinforgiftning (uremi), bør det snarest legges nefrostomi.
MR bekken/buk.
Vevsprøvetaking
Mikroskopisk undersøkelse av vevsprøve fra områder som gir mistanke om tumorvekst utføres.
For å utelukke livmorhalskreft gjøres utskraping av livmorhulen (fraksjonert abrasio) med vevsprøve av livmortappen. Det skal alltid tas vevsprøver fra livmorhalsen selv om denne ikke er makroskopisk affisert. Ved kreft på livmorhalsen skal tilfellet klassifiseres som livmorhalskreft.
Utredningen kan skje på lokalsykehus, men behandlingen skal sentraliseres til gynekologisk kreftsenter.
Analyser av vevsprøve
Vevsprøver sendes til histologisk analyse. Analysene kan være avgjørende for hvilken behandling pasienten får.
 |
 |
 |
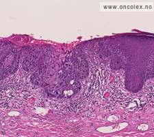
| De fleste svulster utgår fra plateepitel. Forstadiene inndeles i vaginal intraepitelial neoplasi (VAIN) 1, 2 og 3. Dette er et lysmikroskopibilde av HE-farget plateepitelkarsinom in situ. |
Den hyppigst forekommende ondartete svulster i skjeden er plateepitelkarsinom. Bilde viser vaginalresektat med tumor. |
Lysmikroskopisnitt av ondartet svulst i skjeden av typen lite differensiert plateepitelkarsinom. |
Adenokarsinom er uvanlig i skjeden. I sjeldne tilfeller kan ondartet føflekk ses som primærtumor.
Utredning ved tilbakefall
De fleste tilbakefall kommer i løpet av 2 år etter primærbehandling og kan være lokalisert til bekken, lever, lunger og lymfekjertler. Utredning skal kartlegge tilbakefallets lokalisasjon og omfang. Forhold i bekken kartlegges best ved MR, mens CT er velegnet ved de fleste andre lokalisasjoner.
Ved mistanke om spredning til bekkenskjelettet hos pasienter som har fått strålebehandling mot bekkenet, er stråleforandringer en viktig differensialdiagnose. MR-undersøkelse er best egnet i vurderingen av dette.