På kreftlex.no bruker vi informasjonskapsler for samle inn nettstatisikk for å forbedre nettsiden og måle hvor godt den fungerer. Ved å benytte kreftlex.no godkjenner du dette.

Skriv ut

Stadier og spredningsmønster ved leukemi

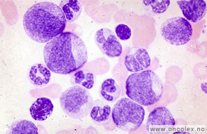
Lysmikroskopibilde av benmargsprøve fra pasient med akutt myelogen leukemi
Lysmikroskopibilde av benmargsprøve fra pasient med akutt myelogen leukemi, M3. Viser promyelocytter (forstadier til granulocytter) med granulering (kornet struktur) og tallrike Auerstaver.

Akutt leukemi

For klassifisering av akutt leukemi brukes to ulike klassifikasjonssystemer: WHO og FAB. I praksis overtar WHO-klassifikasjonen også i Norge.

Begge bygger på undersøkelse av cellenes utseende under mikroskop på blod- og benmargsutstryk, men i WHO-klassifikasjonen legges det i tillegg vekt på kromosomundersøkelse i mikroskop (cytogenetisk undersøkelse) og andre genundersøkelser (molekylærgenetiske), flowcytometriske undersøkelser og funn ved klinisk undersøkelse. Noen ganger kan spesialundersøkelser være helt nødvendige for å stille riktig diagnose og prognose. Derfor er slike undersøkelser tatt inn i WHO-klassifikasjonen.


Inndeling av AML etter FAB-kriteriene

Akutt myelogen leukemi deles inn i undergrupper (M0-M7):

M0 – udifferensiert leukemi

M1 – uten modningstegn

M2 – med modningstegn

M3 – hypergranulær promyelocyttleukemi

M4 – myelomonocyttleukemi

M5 – monoblastleukemi

M6 – erytroleukemi

M7 – megakaryoblastleukemi

Kriteriet for å stille diagnosen akutt myelogen leukemi er redusert fra 30 % blaster i FAB til 20 % i WHO-klassifikasjonen.  

Inndeling av ALL etter FAB-kriteriene

Akutt lymfatisk leukemi deles inn i undergrupper (L1-L3):

L1 – cytoplasmafattige, små blaster

L2 – mer forskjelligartet med henblikk på cytoplasmarikdom og størrelse

L3 – B-celleblaster med basofilt vakuolisert (væskefylte rom) cytoplasma 

Inndeling av akutt leukemi etter FAB-kriteriene

Kronisk leukemi

Lysmikroskopibilde av blodutstryk fra pasient med kronisk myelogen leukemi. Blodbildet ser ut som benmarg, med få eller ingen blaster og alle modningsstadier av den myeloide cellerekken.

Sykdomsutvikling ved kronisk myelogen leukemi (KML) deles inn i tre faser ut ifra antall umodne blodceller i benmarg og blod.

  • I den kroniske fasen vil de ondartede cellene holde et stabilt lavt nivå i blod eller benmarg, med lite symptomer. Med behandling med tyrosinkinasehemmere kan man få normale eller tilnærmet normale blodverdier uten umodne granulocytter i blodet. Ubehandlet vil en kronisk fase gå over til akutt leukemi i løpet av 4-6 år.
  • I den akselererte fasen øker antallet blaster og umodne granulocytter, og parallelt med det tiltar symptomene. Denne fasen kan vare inntil et år og går over i blastfase. Ofte ses også miltforstørrelse. Akselerert fase er som regel en kortvarig overgangsfase mellom kronisk fase og blastfase.
  • I blastfasen er over 30 % av cellene i blod eller benmarg blaster. Disse vil fortrenge andre blodceller, og pasienten får symptomer på akutt leukemi. I denne fasen vil sykdommen ofte spre seg utenfor benmargen, og prognosen er i slike tilfeller dårlig.

Kronisk lymfatisk leukemi (KLL) er karakterisert ved opphopning av små, modent utseende lymfocytter i blod, benmarg og lymfoide organer. Det er vanlig å dele pasientene i prognosegrupper på diagnosetidspunktet.

Sykdomsutvikling ved KML

Kronisk fase
Ubehandlet Behandlet

< 15 % blastceller i blod eller benmarg

< 30 % – summen av blastceller og promyelocytter i blod eller benmarg

< 20 % basofile granulocytter i perifert blod

Blodplatetall > 100 x 109/l

Normale eller nær normale blodverdier uten umodne granulocytter i blodet

Akselerert fase

Blasttall mellom 15–29 % i blod eller benmarg

≥ 30 %, summen av blastceller og promyelocytter i blod eller benmarg.

≥ 20 % basofile granulocytter i blod

Blodplatetall < 100 x 109/l, som ikke kan forklares av behandling

Ofte også økende miltforstørrelse

Nye kromosomavvik i Philadelphiakromosompositivt klon

Blastfase

Karakterisert ved at >30 % av cellene i blod eller benmarg er blaster

Pasienten får symptomer på akutt leukemi.

Sykdom utenfor benmarg

 Stadieinndeling av KLL etter Binet

Kriterier Stadium
A B C
Antall involverte lymfeknuteregioner 0–2 3–5 0–5
Hemoglobin (g/dl) >10 >10 <10
Blodplater (109/l) >100 >100 <100
Overlevelse (år) >10 5 2,6
Inndeling kronisk leukemi

Spredningsveier

Leukemier er sykdommer utgående fra benmargen og som påvirker hele kroppen. Prinsipielt kan leukemiske blaster finnes overalt i kroppen. De vanligste stedene hvor man kan påvise spredning utenfor benmargen er til sentralnervesystemet (hjerne/ryggmarg), lever, milt, lymfekjertler og testikler.

Ved spredning til lymfekjertler sentralt mellom lungene (mediastinum), kan det oppstå svulst med potensielt livstruende innsnevring av luftveiene og de store venene. Dette forekommer spesielt ved T-celleleukemi.

Ved akutt myelogen leukemi kan det i sjeldne tilfeller finnes svulster utenfor benmarg (myelosarkom) med eller uten påviselig sykdom i benmarg. Pasientene behandles allikevel som en akutt myelogen leukemi.

Informasjonen du finner i Kreftlex er utelukkende av generell karakter og erstatter ikke kontakt med, eller undersøkelse og behandling, hos autorisert helsepersonell.
Institutt for kreftgenetikk og informatikk © 2026
Lag en lenke til Kreftlex fra din mobil