På kreftlex.no bruker vi informasjonskapsler for samle inn nettstatisikk for å forbedre nettsiden og måle hvor godt den fungerer. Ved å benytte kreftlex.no godkjenner du dette.

Skriv ut

Utredning ved kreft i urinblæren

Ved utredning av kreft i urinblæren må pasienten gjennomgå kliniske undersøkelser, urinundersøkelser, endoskopiske og bildediagnostiske undersøkelser. Hensikten er å identifisere svulsten og kartlegge utbredelse og eventuell spredning av svulsten, for å kunne bestemme videre behandling.

Klinisk undersøkelse

Ved mistanke om blærekreft tar legen utgangspunkt i pasientens sykehistorie og gjør en klinisk undersøkelse for å planlegge videre utredning. 

Endret vannlatningsmønster som sterk, plutselig vannlatningstrang eller hyppig vannlatning skal utredes på pasienter over 45–50 år. Blærekreft er erfaringsmessig mer langtkommen ved primærdiagnostisering hos kvinner. På grunn av hormonendringer, er vannlatningsproblemer en relativt vanlig plage hos kvinner i denne aldersgruppen, noe som kan medvirke til forsinket diagnostisering.

Det tas prøver av urin. Ved utslag som tyder på sykdom blir celler i urinen sett på under mikroskop, for å vurdere om det foreligger kreftceller. Det gjøres også bakteriologisk undersøkelse ved symptomer som gir mistanke om infeksjon, for å bekrefte/utelukke dette.

I 85 % av tilfellene tar pasienten kontakt med lege på grunn av blod i urinen, ofte som eneste symptom. Ved synlig blod i urinen skal blærekreft mistenkes. Dersom blod i urinen foreligger ved utredning, uten å ha funnet kreft eller annen forklaring, må pasienten vurderes for videre kontroller.

Endoskopisk undersøkelse

Ved symptomer og/eller funn som gir mistanke om blærekreft, gjøres cystoskopi, en undersøkelse av urinrør og urinblære der en går inn med et endoskop via urinrøret. Cystoskopi avslører i de fleste tilfeller svulstforandringer i urinblæren.

Vevsprøver må gjennomføres i full narkose eller ryggmargsbedøvelse for å vurdere dybdevekst og utbredelse og tumorgrad. Vevsprøver tas med elektrisk slynge dypt ned i blæremuskulaturen under svulsten, slik at det ved histologisk analyse er mulig å vurdere hvor dypt svulsten vokser.

I tillegg vil legen kjenne på blæren med en finger i endetarmen (og skjeden hos kvinner) og en hånd på magen. Legen vil kjenne etter svulsten, om den er bevegelig eller har vokst inn i bekkenveggen.

Vevsprøver i lokalbedøvelse utføres bare dersom forandringene sett med endoskop er ukarakteristiske for kreftforandringer. I de senere år er fotodynamisk diagnostikk tatt i bruk. Karsinom in situ i blæren kan være vanskelig å oppdage under vanlig cystoskopi med hvitt lys. Cystoskopi med fotodynamisk diagnostikk kan da være til hjelp.

Ved påviste ondartede celler i urin og normale funn ved cystoskopi og CT av nyrer/urinveier, samles urin fra begge urinlederne med hjelp av et tynt plastrør. Kateteriseringen er et forsøk på å lokalisere de ondartede cellene. Det gjøres eventuelt i tillegg endoskopi av øvre del av urinlederne (ureteropyeloskopi).
Les mer...

Bildediagnostiske undersøkelser

  • Blærekreft oppfattes som en systemsykdom i urinveienes overgangsepitel. Av den grunn undersøkes også øvre urinveier med CT av nyrer/urinveier.
  • MR anvendes ved utredning av invasive svulster og kartlegging av eventuell spredning til lymfeknuter i bekken og bakre bukvegg.
  • Ved muskelinfiltrerende kreft gjøres skjelettscintigrafiCT av buk og røntgen toraks hvis det er holdepunkter for å benytte kombinasjonsbehandling. Nytten av rutinemessig skjelettscintigrafi før radikalbehandling (cystektomi) ved muskelinfiltrerende kreft er tvilsom, unntatt når pasienten har symptomer som kan tyde på eventuell spredning til skjelettet. MR av skjelett kan være avklarende ved usikre funn ved skjelettscintigrafi eller ved skjelettsymptomer.
  • Ved usikre konklusjoner vurderes endoskopi av øvre del av urinlederne (ureteropyeloskopi).

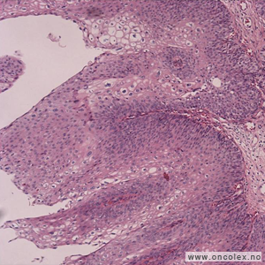
Celle- og vevsprøver

Ved blod i urinen og mistanke om kreftsvulst i urinveiene må kreftdiagnosen sikres med histologisk undersøkelse. Diagnosen stilles på målrettede vevsprøver fra slimhinnen som tas i forbindelse med cystoskopi, i transuretrale resektat fra blære eller i større operasjonspreparat.

Analyse av vevsprøver

Vevsprøver sendes til histologisk analyse. Analysene kan være avgjørende for hvilken behandling pasienten får.

Patologen ser på vevsprøvene under mikroskop for å avgjøre om det foreligger papillom (godartet), karsinom in situ (forstadie) eller karsinom (eventuelt andre ondartede svulster). I tillegg vurderes svulstens malignitetspotensiale og utbredelse. Denne informasjonen er av stor betydning for valg behandlingsmetode og for pasientens leveutsikter. Det kan også være nødvendig med tilleggsanalyser som immunhistokjemi og molekylære analyser for å subklassifisere svulsten.

 

Svulster i urinveiene klassifiseres i henhold til WHO 2004. Mer enn 99 % av svulstene i urinveiene oppstår i overgangsepitelet (urotelet) som kler slimhinnen i nyrebekken, urinledere, urinblære og øvre del av urinrøret.

Godartede svulster

Godartete svulster er sjeldne; uroteliale papillomer kan vokse utover som vorter (papillære) eller innover (inverterte).

Forstadier til kreft

Karsinom in situ representerer fortadier til kreft. Ved karsinom in situ ser ofte ikke patologen noen slimhinneforandringer i blæren.

Ondartede svulster

Mer enn 95 % av de uroteliale svulstene er ondartede (maligne) og kalles urotelialt karsinom. Ulike varianter av uroteliale karsinomer eksisterer; noen av disse er meget aggressive (mikropapillær type og sarkomatoid).

Blærekarsinomer kan vokse eksofyttisk (utover inn i blærehulrommet) eller infiltrerende (inn i blæreveggen) og de kan utgå fra blæredivertikler

De høygradig uroteliale karsinomene kan både likne plateepitel (plateepiteldifferensiering) og normale kjertelceller (kjerteldifferensiering). Primære adenokarsinomer i blære forekommer, de er ofte assosiert med intestinal (likner på det en finner i mage-tarmkanalen) metaplasi i urotelet og adenokarsinom in situ. Adenokarsinomer som utgår fra embryonale rester i blæretaket er ofte slimproduserende. Primære plateepitelkarsinomer i blære er sjelden i Norge, og forekommer hos pasienter med kroniske infeksjoner og keratiniserende (forhorning) plateepitelmetaplasi i blæreslimhinnen. I land med endemiske infeksjoner med Bilharzia (Schistosoma hematobium) er platepitelkarsinom i blære mye hyppigere. Småcellet karsinom i blære er meget aggressive svulster; diagnosen bekreftes med immunhistokjemisk undersøkelse. Riktig klassifikasjon av denne svulsttypen er viktig fordi pasientene skal behandles med cellegift primært, og ikke kirurgi.

Svulster som oppstår i støttevevet er sjeldne; de kan være godartete (hemangiom, leiomyom) eller ondartede (ulike typer sarkomer). Ondartede svulster som oppstår i lymfoid vev kalles lymfomer; det er også sjelden at disse oppstår primært i urinveiene. Spredningssvulster forekommer også i urinveiene selv om det er vanligere at ondartede svulster i naboorganer (prostata, livmor eller endetarm) vokser direkte inn i blæreveggen.

Informasjonen du finner i Kreftlex er utelukkende av generell karakter og erstatter ikke kontakt med, eller undersøkelse og behandling, hos autorisert helsepersonell.
Institutt for kreftgenetikk og informatikk © 2026
Lag en lenke til Kreftlex fra din mobil