På kreftlex.no bruker vi informasjonskapsler for samle inn nettstatisikk for å forbedre nettsiden og måle hvor godt den fungerer. Ved å benytte kreftlex.no godkjenner du dette.

Skriv ut

Utredning ved kreft i skjoldbruskkjertelen

Det er stor forekomst av knuter i thyroidea. Inntil 40% av befolkningen har dette og økende med høyere alder. Ved utredning av kreft i skjoldbruskkjertelen gjøres en klinisk undersøkelse med blodprøvetaking, bildediagnostiske undersøkelser og celle- og eventuelt vevsprøver. Hensikten med de ulike undersøkelsene er å identifisere svulsten og kartlegge utbredelse og eventuell spredning av svulsten, samt svulstens celletype, for å kunne bestemme videre behandling.

Klinisk undersøkelse

Legen går grundig gjennom sykdomshistorie (familieanamnese) og undersøker pasienten ved å kjenne på skjoldbruskkjertelen og halsen. Tegn på hyper-/hypotyreose registreres.

Blodprøver som tas:

Ved mistanke om kreftsvulst skal pasienten henvises videre til pakkeforløp ved skjoldbruskkjertelkreft for videre utredning i spesialisthelsetjenesten, vanligvis ved regionssykehus.

Utredning hos spesialist

Pasient med normale funksjonsprøver av skjoldbruskkjertel og enkeltstående knute, mistenkelig knute i knutestruma eller endring i kjent knutestruma skal henvises til spesialist.

Legen går gjennom pasientens sykehistorie og gjør en klinisk undersøkelse, og eventuelt en undersøkelse av stemmebåndene. Lymfeknutene foran og rundt luftrøret kjennes på og undersøkes grundig for om mulig å avsløre spredning, og vurdere fjerning av lymfeknuter under operasjon.

Blodprøver med måling av kalsitonin hos pasienter med knute i skjoldbruskkjertelen gjøres hovedsaklig før operasjon hos de som skal opereres eller hvor symptombildet gir mistanke om medullær skjoldbruskkjertelkreft.

Bildediagnostiske undersøkelser

Det gjøres ultralydundersøkelse av skjoldbruskkjertelen og halsen med status av lymfeknuter. Grundig kartlegging av lymfeknuter er en viktig del av utredningen før operasjon.

I noen få tilfeller kan det være aktuelt å utføre MR eller CT ved:

  • stor forstørret skjoldbruskkjertel hvor begrensningene ikke kan vurderes godt nok ved legeundersøkelse eller ved ultralyd.
  • fikserte svulster (som kan tyde på at svulsten har vokst ut av kapselen og inn i omkringliggende vev).
  • mistanke om utbredt sykdom.

Scintigrafi av skjoldbruskkjertel er bare aktuelt å gjøre hos pasienter med lav/supprimert TSH, og ved mistanke om hormonproduserende svulst (autonomt adenom).

Det bør gå 2 måneder fra jodholdig kontrast er gitt til undersøkelse eller behandling med radioaktivt jod (131I). Derfor bør bruk av jodholdige kontrastmidler ved CT unngås før eventuelt radioaktivt jod-undersøkelse eller behandling.

Celle- og vevsprøvetaking

Det skal ikke foretas åpen vevsprøve av svulsten ved mistanke om kreft i skjoldbruskkjertelen, eller av lymfeknuter der man mistenker spredning til disse. Vanligvis er celle- eller vevsprøver (nålbiopsi) tilstrekkelig.

Ved begrunnet mistanke om lymfekreft (lymfom) eller udifferensiert skjoldbruskkjertelkreft kan åpen vevsprøve være aktuelt hvis man ikke kommer i mål med nålbiosi.

Analyse av celle- og vevsprøver

Celle- og vevsprøver sendes til cytologisk/histologisk undersøkelse. Analysen kan være avgjørende for hvilken behandling pasienten får.

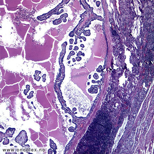
Bildeeksempler

Histologisk klassifikasjon (WHO)

  • Papillær skjoldbruskkjertelkreft (cirka 70 %)
  • Follikulær skjoldbruskkjertelkreft (cirka 15 %)
  • Lite differensiert skjoldbruskkjertelkreft (under 5 %)
  • Udifferensiert anaplastisk skjoldbruskkjertelkreft (under 5 %)
  • Medullær skjoldbruskkjertelkreft (5-10 %)
  • Andre

De fire første hovedgruppene utgår fra folliklenes overflateceller, mens medullær kreft utgår fra de såkalte C-cellene (kalsitoninproduserende) som er lokalisert i grupper mellom folliklene.

Papillært tyreoideakarsinom

Diagnosen baseres vanligvis på en kombinasjon av:

  • et vekstmønster med komplekse papillære strukturer (forgrenede papiller)
  • karakteristiske kjerneforandringer (mattglasstruktur, kjernefurer, inklusjoner). Disse kjerneforandringene er ikke spesifikke for ondartethet, og det kan også være problematisk å finne kjerner med disse karakteristika.

Papillære tyreoideakarsinomer (PTC) forekommer i mange varianter, som regel skal en spesifikk komponent dominere (over 75 %) før svulsten diagnostiseres som en variant.

Gradering av svulsten er ikke anbefalt som standard, men har vært foreslått. De individuelle kriteriene bør vurderes og beskrives som (WHO 2004):

  • markert kjerneatypi
  • mikronekroser 
  • karinnvekst
  • økt antall celledelinger

Tilstedeværelse av disse i PTC kan indikere en dårlig prognose.

PTC er i en del tilfeller væskefylte (cystiske), noe som kan gjøre det vanskelig å stille diagnosen på finnålsaspirat.

Follikulære svulster

Diagnosen follikulært karsinom må alltid stilles ved histologisk vurdering av operasjonspreparat fordi det kun skiller seg fra follikulært adenom ved gjennombrudd av svulstkapselen og/eller innvekst i kar, og ikke på cellenes utseende (cellemorfologi) under mikroskop.

Det foreligger høygradige (hissige) og lavgradige (mindre hissige) ondartede follikulære svulster. De høygradige har utbredt innvekst gjennom kapselen eller i kar, mens de lavgradige kun viser et lite område med begrenset kapselgjennombrudd.

Follikulære svulster (adenomer) kan vise noe kjernevariasjon og enkelte celledelinger, uten at dette i seg selv tilsier ondartethet. Funn av atypiske celledelinger trekker i ondartet retning.

Follikulære karsinomer foreligger i to former:

  • begrenset innvekst
  • utbredt innvekst med helt eller delvis manglende svulstkapsel

Karsinomer med oxyfil differensiering

Oxyfile celler (Hurtleceller) er celler som er større på grunn av opphopning av mitokondrier i cytoplasma. Karsinomer med oxyfil differensiering (likhet til oxyfile celler) kan være ekstra problematiske, dette gjelder både å vurdere hvor aggressiv svulsten er og typebestemmelse av svulsten. Sistnevnte fordi svulster kan ha små papillære strukturer, men dette tilsier ikke at diagnosen er papillær skjoldbruskkjertelkreft, uten at de har korrekt kjernetype, omfattende og komplekse papillære strukturer, noe som er meget sjelden.

Medullære tyreoideakarsinomer

Medullære tyreoideakarsinomer i skjoldbruskkjertelen utgår fra C-cellene og er kalsitoninproduserende. Medullært tyreoideakarsinom foreligger i en spontan og en familiær variant. Ved familiær variant foreligger det ofte C-cellehyperplasi og flere primære svulster i skjoldbruskkjertelen, mens den spontane varianten vanligvis har en enkeltstående primærsvulst.

Svulstcellene er runde, ovale eller spolformede (fusiform) og kjernene er ensartet. Kjerne-/cytoplasmaratio er lav. Et karakteristisk histologisk trekk er at tumorstøttevevet inneholder amyloid (en type protein), selv om dette ikke er nødvendig for å stille diagnosen.

Lite differensiert tyreoideakarsinom

Lite differensiert karsinom anvendes i hovedsak om to kategorier svulster. De som svarer til varianten insulært karsinom, og svulster som befinner seg i en mellomgruppe mellom differensiert og udifferensiert anaplastisk tyroideakarsinom. Det vil oftest være svulster med solid arkitektur, grovere kjerneatypi (ikke mattglasstype), tendens til vevsdød, celledelinger og karinnvekst.

Udifferensierte anaplastiske karsinomer

I disse svulstene ses grov kjerneatypi, flere celledelinger og utbredt vevsdød, samt spolcellet (fusiform) differensiering (eventuelt kjempeceller) taler for udifferensiert karsinom. Grenseoppgangen til ondartede svulster med annet utgangspunkt og til lite differensiert karsinom utgående i skjoldbruskkjertelen kan være vanskelig.

Mikrokarsinom

Mikrokarsinom har en diameter på 10 mm eller mindre, og benyttes særlig om papillær skjoldbruskkjertelkreft. Små svulster (2-3 mm) påvises ikke sjeldent i skjoldbruskkjertelvev som er fjernet av annen årsak.

Les mer om de ulike typene svulster i thyroidea

 

Informasjonen du finner i Kreftlex er utelukkende av generell karakter og erstatter ikke kontakt med, eller undersøkelse og behandling, hos autorisert helsepersonell.
Institutt for kreftgenetikk og informatikk © 2026
Lag en lenke til Kreftlex fra din mobil