På kreftlex.no bruker vi informasjonskapsler for samle inn nettstatisikk for å forbedre nettsiden og måle hvor godt den fungerer. Ved å benytte kreftlex.no godkjenner du dette.

Skriv ut

Utredning ved hjernesvulster

Ved utredning av svulst i hjernen (hjerne, hjernehinner, hjernenerver, hypofyse) gjøres en generell medisinsk undersøkelse, inkludert nevrologisk undersøkelse. Det gjøres bildediagnostiske undersøkelser (oftest MR) for å påvise/lokalisere svulst og kartlegge utbredelse. Ofte tas det også vevsprøve av svulsten for å stille en sikrest mulig diagnose. Det siste gjøres imidlertid ofte ikke om man har en liten svulst som man tror er meningeom, da vil det ofte være tilstrekkelig å ta MR-kontroll for å følge utviklingen av svulsten. 

Klinisk nevrologisk undersøkelse

Klinisk nevrologisk undersøkelse vil kunne gi holdepunkter for hvor i nervesystemet en eventuell svulst befinner seg. Undersøkelsen omfatter en systematisk gjennomgang av blant annet kognitiv funksjon (hukommelse, orienteringssans, med mer), hjernenervefunksjon, bevegelighet, balanse, koordinasjon, sensibilitet (følelse), reflekser og gange.

Blodprøver og ryggmargsvæskeprøver

For de fleste hjernesvulster har undersøkelser av blod og ryggmargsvæske liten eller ingen diagnostisk betydning. Blodprøver har imidlertid stor betydning for å måle nivåer av hormoner i blodet ved hypofysesvulster. Måling av svulstmarkører (b-hCG og  AFP) i blod og ryggmargsvæske er obligatorisk ved germinalcellesvulster). Ved germinalcellesvulster og embryonale svulster (for eksempel medulloblastom) - noen ganger også ved ependymomer - skal man alltid ta prøve av ryggmargsvæsken for å se etter svulstsceller. 

Bildediagnostiske undersøkelser 

MR er det viktigste diagnostiske hjelpemiddel for å påvise hjernesvulster. Ofte gjøres det først en CT av hjernen, men CT-undersøkelsen har klare begrensninger når det gjelder fremstilling av hjernesvulster. CT- eller MR-angiografi gjøres av og til for å kartlegge blodåresystemet i hjernen og eventuelle blodårer i og rundt en svulst.

Undersøkelse og kartlegging av aktiviteten i hjernen og områder som styrer de ulike hjernefunksjoner (funksjonell MR), er et viktig supplement i utredningen før operasjon. Dette gjelder spesielt for svulster som ligger i nærheten av områder som styrer språk og motorikk (bevegelse). Måling av hjernens elektriske aktivitet (EEG) og testing for språkfunksjonen i de to hjernehalvdelene (WADA-test) kan også være aktuelt.

Celle- og vevsprøvetaking 

Vevsprøve fra hjernesvulsten tas hvis det er nødvendig for å finne ut hvilken type svulst som foreligger. Dersom man planlegger å fjerne svulsten ved operasjon gjøres vevsprøvetaking i samme seanse. For svulster som ikke kan fjernes med kirurgi kan man ta vevsprøve på tre forskjellige måter:

Endoskopisk eller stereotaktisk vevsprøvetaking er å foretrekke om det er mulig.

Analyse av celle- og vevsprøver

Celle- og vevsprøver sendes til cytologisk eller histologisk analyse. I tillegg til at man studerer cellene i mikroskopet, gjør man avanserte immunhistokjemiske og genetiske analyser. Nøyaktig hvilke analyser som gjøres er avhengig av hvilken type svulst man mistenker at pasienten har.

 

Svulsttyper

Det finnes mange veldig forskjellige typer hjernesvulster. WHO opererer i sin siste klassifikasjon med 12 hovedgrupper hjernesvulster.

Gliomer, glionevronale og nevronale svulster

Dette er en veldig heterogen gruppe svulster hvor både svulstenes biologi og levetidsutsiktene for pasientene varierer betydelig.

Gliomer

Det finnes mange forskjellige typer gliomer. Gliom er en fellesbetegnelse på svulster med celler som ligner på ulike typer støtteceller i sentralnervesystemet. Vanligst hos voksne er diffust infiltrerende gliomer. Som navner tilsier vokser disse svulstene infiltrerende også inn i det som på MR synes å være frisk hjerne. De aller fleste tilbakefall er imidlertid lokale, det vil si der svulsten oppstod første gang. Fjernspredning via blodbanen eller hjerne- og ryggmargsvæsken forekommer sjelden eller aldri for diffust infiltrerende gliomer. De vanligste typene diffuse gliomer omtales nedenfor. I tillegg har man diffuse midtlinjegliomer og pediatrisk -type diffuse gliomer som er relativt sjelden hos voksne, men relativt hyppig hos barn.

I den siste oppdateringen til WHO går man litt bort fra å bruke svulstcellenes utseende som grunnlag for klassifikasjonen. Man går mer og mer over til å bruke molekylærbiologiske egenskaper for å klassifisere svulstene.

Glioblastomer

Glioblastom er den vanligste hjernesvulsten hos voksne, og cirka 220 norske personer får denne diagnosen hvert år. Samtidig er det en av de mest aggressive svulsttypene hvor i praksis alle pasienter på ett eller annet tidspunkt vil oppleve tilbakefall. Cirka 60 % av pasientene er menn og halvparten av pasientene er over 60 år. Behandling vil oftest være en kombinasjon av operasjon, strålebehandling og cellegift. For en del pasienter kan det være aktuelt å delta i studier med utprøving av ny behandling.

Voksen-type diffuse astrocytomer, IDH-muterte

Denne type svulst ser man oftest hos unge voksne, sjelden hos personer over 60 år og det er ganske lik forekomst mellom kjønnene. Cellene i voksen-type diffuse IDH-muterte astrocytomer har likhetstrekk med astrocytter som er en type gliacelle/støttecelle i sentralnervesystemet.  Alle voksen-type diffuse astrocytomer skal per definisjon ha mutasjon i ett av de to IDH-genene. Disse svulstene kan være grad 2, 3 eller 4 hvor grad 2 er de snilleste og grad 4 de mest hissige. Levetidsutsiktene er best for pasienter med grad 2 svulst og dårligst for pasienter med grad 4 svulst.

Behandling vil oftest være operasjon, strålebehandling og cellegift.

For grad 2 svulster er flere faktorer, inkludert alder og om all synlig svulst kan fjernes ved operasjon, viktig for når man skal anbefale strålebehandling og cellegift. For disse pasientene er det ellers forventninger knyttet til effekt av et nytt medikament ved navn vorasidenib som enn så lenge ikke er tilgjengelig på markedet.

Oligodendrogliomer, IDH-muterte og 1p/19q-kodeleterte

Denne type svulst ser man oftest hos unge voksne, sjelden hos personer over 60 år og det er ganske lik forekomst mellom kjønnene. Disse svulstene har celler som ligner på oligodendrocytter, som er en type gliacelle/støttecelle i sentralnervesystemet. Alle oligodendrogliomer skal per definisjon ha mutasjon i ett av de to IDH-genene og en spesiell kromosomforandring som affiserer kromosom 1 og 19. Oligodendrogliomer kan være grad 2 eller 3 og det er usikkert om prognosen mellom de to gradene er veldig forskjellig.

Behandling vil oftest være operasjon, strålebehandling og cellegift.

For grad 2 svulster er flere faktorer, inkludert alder og om all synlig svulst kan fjernes ved operasjon, viktig for når man skal anbefale strålebehandling og cellegift. For disse pasientene er det ellers forventninger knyttet til effekt av et nytt medikament ved navn vorasidenib som enn så lenge ikke er tilgjengelig på markedet.

Glionevronale og nevronale svulster

Dette er en svulstgruppe med mange ulike svulsttyper som hver for seg er sjeldne hos voksne. Diagnoser som gangliogliom, dysembryoplastisk nevroepitelial tumor, diffus leptomeningeal tumor og sentralt nevrocytom hører hjemme her. Levetidsutsiktene er oftest gode og den viktigste behandlingen er kirurgi. Strålebehandling kan i noen tilfeller være aktuelt.

Ependymomer

Ependymomer er relativt sjeldne og deles inn i 9 undergrupper. Noen av disse undergruppene er vanligst hos barn mens andre er vanligst hos voksne. Levetidsutsiktene varierer mellom undergruppene. Klassifiseringen skjer på bakgrunn av molekylærbiologiske egenskaper. Den viktigste behandlingen er kirurgi og mange pasienter vil også få tilbud om strålebehandling. Ependymomer oppstår oftest i veggen av de naturlige hulrommene i hjernen (ventrikkelsystemet) og sentralkanalen i ryggmargen. Tradisjonelt har man gradert ependymomer fra 1–3. Gradering gjøres fortsatt, men man har fjernet muligheten for grad 1. Fordi det er en del subjektivitet og usikkerhet rundt gradering er man mer opptatt av de molekylærbiologiske egenskapene til svulstene. Ependymomer kan spre seg via hjernevæsken, men det er relativt uvanlig.

Embryonale svulster

Embryonale svulster er relativt sjeldne og disse svulstene sees oftest hos barn. Alle er grad 4 aggressive svulster og de har en tendens til å spre seg med ryggmargsvæsken. Det skal derfor alltid tas prøve av ryggmargsvæsken i forkant og/eller cirka 14 dager etter operasjon. For at pasienter med embryonale svulster skal kunne bli friske må man få behandling med operasjon, strålebehandling og cellegift. Tendensen til spredning via ryggmargsvæsken medfører at alle pasienter med embryonale svulster må få strålebehandling ikke bare mot området med svulst, men også mot hele sentralnervesystemet (såkalt SNS-akse strålebehandling). Ofte vil man foretrekke å bruke protonstråling heller enn fotonstråling for denne pasientgruppen. Det at man må strålebehandle et såpass stort område av kroppen medfører uansett risiko for bivirkninger både på kort og lang sikt.

Medulloblastomer

Medulloblastomer er den vanligst forkommende embryonale svulsttype. Den er hyppigst hos barn og man bruker avanserte laboratorieteknikker som sier noe om svulstenes biologi for å klassifisere medulloblastomer. Levetidsutsiktene varierer mellom undergruppene.

Hjernehinnesvulster (meningeomer)

Etter at Hjernesvulstregisteret ble etablert og kom med sin første rapport i mai 2023, så ble det tydelig at man ikke har god nok oversikt over hvor mange norske personer som hvert år får diagnostisert meningeom. Tall fra 2022 tyder på at cirka 900 pasienter fikk påvist meningeom og at cirka 230 av disse ble operert. Forekomsten øker jevnt med alderen og det er overvekt av kvinner (omtrent dobbelt så mange kvinner som menn) som får meningeom. Kvinner som har fått diagnostisert et meningeom har en lett overhyppighet av brystkreft og motsatt, antakelig fordi begge svulstformer er påvirkelige av kvinnelige kjønnshormoner. Behandling med noen typer kvinnelige hormoner ser ut til å gi økt risiko for utvikling av eller vekst av meningeom. Meningeomene graderes fra 1 til 3 der grad 1 er snillest, grad 2 medfører en økt risiko for tilbakefall, og grad 3 er aggressive svulster hvor man kan få spredning til organer. Meningeomer grad 3 er veldig sjeldne og grad 2 og spesielt grad 1 meningeomer vokser vanligvis svært langsomt. Hjernen kan derfor tilpasse seg svulstens vekst, noe som kan forklare at noen pasienter kan ha relativt store svulster før de får symptomer som medfører at at svulsten diagnostiseres. De fleste meningeomer vokser ikke inn i hjernen, men skyver den foran seg. De kan imidlertid vokse rundt eller inn i blodkar og hjernenerver. Dette skjer særlig når meningeomet vokser ut fra skallebasis, og svulsten kan da være svært vanskelig eller umulig å fjerne. Meningeomer kan i noen tilfeller tette de store blodårene rundt hjernen (såkalte venesinus). Lokal innvekst i overliggende ben er heller ikke helt uvanlig. Dersom man får påvist et lite meningeom som ikke gir symptomer/plager, så vil det oftest være best å ikke behandle, men kontrollere med MR for å se om svulsten vokser eller holder seg i ro. For de pasientene som har meningeom som er relativt stort og/eller gir plager, så er operasjon oftest førstevalget ved behandling. Av og til kan strålebehandling, engangsstrålebehandling eller det vi kaller fraksjonert strålebehandling, være et alternativ eller supplement til kirurgi. Medikamentell behandling har enn så lenge ingen plass i behandling for å stoppe vekst av meningeom.

Hjernenervesvulster

Hjernenervesvulster kan oppstå i alle de 12 hjernenervene og det finnes flere ulike typer slike svulster. Tilsvarende type svulster kan oppstå også i ryggmargsnervene. De fleste av svulstene kan også klassifiseres som bløtvevssvulster. Som for mange av de andre hjernesvulsttypene er det kirurgi som er den viktigste behandlingsmodaliteten, mens strålebehandling er et alternativ for noen svulsttyper.

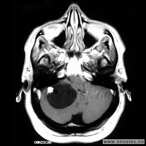
Vestibularisschwannom

Av hjernenervesvulstene er det vestibularisschwannom som er vanligst. Schwannomer kan forekomme på flere hjernenerver, men er i de fleste tilfeller altså lokalisert til balansedelen av hørsels- og balansenerven (åttende hjernenerve). Vestibularisschwannom diagnostiseres vanligvis i 40–50 års alder og er noe hyppigere hos kvinner enn hos menn. Nesten alle vestibularisschwannomer er godartede og vokser langsomt. Hos 5 % av pasientene finner man vestibularisschwannom på begge sider. Disse pasientene har per definisjon nevrofibromatose type 2.

Primære SNS-lymfomer

Primære ondartede lymfomer i sentralnervesystemet er sjeldne og er en betegnelse på lymfekreft som har oppstått i sentralnervesystemet. Disse svulstene hyppigere hos pasienter med redusert immunforsvar, blant annet hos AIDS-pasienter og hos pasienter som har blitt transplanterte. Cellegift, og i noen tilfeller strålebehandling, er de mest aktuelle behandlingsformene for å søke å få kontroll på sykdommen. Operasjon brukes bare for å få bekreftet diagnosen.

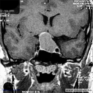
Hypofysesvulster

Det finnes flere typer svulster i hypofyseområdet; de fleste er veldig sjeldne. En type – hypofyseadenom som nå også kalles PitNET – er imidlertid veldig vanlig.

Hypofyseadenom/PitNET

Hypofyseadenomene utgjør 8–10 % av hjernesvulstene. Så mange som 1 % av befolkningen kan ha hypofyseadenom uten å vite om det. Tallene er noe usikre, men Hjernesvulstregisterets årsrapport fra 2023 viste at man hadde diagnostisert 630 personer med hypofyseadenom i 2022. De aller fleste hypofyseadenomer er godartede og levetidsutsiktene for pasientene er svært gode. Mange hypofyseadenomer trenger ingen behandling. Dersom det er aktuelt med behandling vil operasjon eller hormonbehandling være mest aktuelt. I sjeldne tilfeller kan strålebehandling, engangsstrålebehandling eller såkalt fraksjonert strålebehandling, være aktuelt. Cellegiftbehandling brukes bare i svært sjeldne tilfeller. Svulstene inndeles etter om de produserer hormon eller ei, og eventuelt hvilket hormon. Cirka halvparten av hypofyseadenomene produserer hormoner, den andre halvparten gjør det ikke. De hormonproduserende svulstene produserer oftest bare ett hormon og det kan være prolaktin, veksthormon, ACTH, gonadotropiner (FSH/LH) eller TSH. De tre førstnevnte er vanligst.

I tillegg inndeles svulstene etter størrelse, der mikroadenomene er under 10 mm, makroadenomene er lik eller større enn 10 mm men mindre enn eller lik 4 cm, mens gigantadenomene er over 4 cm i lengste diameter.

Knosp klassifikasjon brukes for å beskrive svulstenes utbredelse fra midtlinjen og ut til sidene. Klassifikasjonen deler svulstene inn i grad fra 0 til 4, hvor grad 0 er svulster i hypofysegropen uten utbredelse inn i sinus cavernosus, og grad 4 er svulster som omslutter den indre halsarterien (arteria carotis interna). Grad 4 svulster og svulster som brer seg ut til siden for den indre halsarterien (Knosp grad 3) er svært vanskelig å fjerne fullstendig med operasjon.

Bildeserie av stadieinndeling av hypofysesvulster (Knosp klassifikasjon)

Andre sjeldne hjernesvulsttyper

Det finnes mange andre sjeldne hjernesvulsttyper. Felles for de fleste av disse er at operasjon er den viktigste behandlingen. For noen av svulsttypene er strålebehandling aktuelt og i noen tilfeller viktig. Cellegift eller annen medikamentell behandling er oftest lite aktuelt.

Spredningssvulster fra andre organer

Spredningssvulster (metastaser) til hjernen fra kreftsykdom andre steder i kroppen er mye hyppigere forekommende enn primære hjernesvulster (svulster som oppstår i hjernen). Med økende utbredelse av avansert bildediagnostikk, i første rekke MR, samt mer effektiv behandling av kreftsykdom ellers i kroppen, må man regne med at stadig flere spredningssvulster blir oppdaget og behandlet. Vanligst er spredning fra lungekreft, brystkreft og føflekkreft.

Prognosen for pasienter med spredningssvulster til hjernen er på generell basis dårlig, men for enkelte pasientgrupper har den blitt kraftig forbedret se siste årene. Det vises til omtale av de ulike kreftsykdommene for mer informasjon.

Les mer om de ulike svulsttypene

Dette kapittelet er utarbeidet av Norsk nevroonkologisk interessegruppe (NNOIG).

Informasjonen du finner i Kreftlex er utelukkende av generell karakter og erstatter ikke kontakt med, eller undersøkelse og behandling, hos autorisert helsepersonell.
Institutt for kreftgenetikk og informatikk © 2026
Lag en lenke til Kreftlex fra din mobil