På kreftlex.no bruker vi informasjonskapsler for samle inn nettstatisikk for å forbedre nettsiden og måle hvor godt den fungerer. Ved å benytte kreftlex.no godkjenner du dette.

Skriv ut

Overlevelse ved svulster i CNS hos barn

Sykdommens utvikling og forløp avhenger av svulsttype, svulstens størrelse, hvor den ligger i forhold til viktige strukturer i hjernen, barnets alder og behandlingen. Hvis svulsten kan fjernes kirurgisk i sin helhet uten å skade det friske nervevevet, er prognosen oftest meget god.

Mange svulsttyper trenger strålebehandling som tilleggsbehandling. Strålebehandling har god effekt mot mange typer hjernesvulster, men innebærer risiko for senskader, spesielt hos yngre barn.

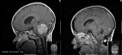
Astrocytom i lillehjernen

Femårs, tiårs og tjueårs overlevelse for pasienter med astrocytom i lillehjernen var henholdsvis 90 %, 87 % og 85 %. Ved fullstendig kirurgisk fjerning av svulsten er prognosen god. De fleste langtidsoverlevere har god funksjon etter operasjon.

Bildeeksempel

MR-bilder av 14 år gammel gutt med pilocytisk astrocytom før- og etter fjerning av svulst

Medulloblastom

Femårs- og tiårsoverlevelse for pasienter med medulloblastom, med det behandlingsopplegget som gis, er henholdsvis 53 % og 45 %.

Bildeeksempel

MR-bilder av 8 år gammel gutt med medulloblastom før- og etter fjerning av svulst

Ependymom

I et norsk materiale var 5- og 10-årsoverlevelse for pasienter med ependymom begge 28 %. Omtrent tilsvarende overlevelsesprosent rapporteres fra Danmark. De fleste rapporter om overlevelsesdata for denne relativt sjeldne sykdommen er bygget på utvalgte materialer. Det er derfor vanskelig å sammenligne disse resultatene med norske og danske tall som er basert på absolutt alle svulstene i en definert populasjon.

Bildeeksempel

MR-bilder av 1 år gammel pike med anaplastisk ependymom før- og etter fjerning av svulst

Kraniofaryngeom

Kraniofaryngeomer hos barn er ofte mer aggressive enn hos voksne. Langtidsoverlevelsen er høy (80–90 %), men de fleste har behov for hormontilskudd. Mange har synsvansker i større eller mindre grad som følge av at svulstene som regel ligger an mot synsbanene.

Bildeeksempel

MR-bilder av 5 år gammel gutt med kraniofaryngeom før- og etter fjerning av svulst

Hjernestammesvulst

Denne svulsttypen har en gjennomsnittlig overlevelse på under ett år. Strålebehandling kan brukes som lindrende behandling, idet mange av barna deretter får en forbigående forbedring i sykdomstilstand og noen gode måneder (av og til flere år) før sykdommen innhenter dem. Noen mulighet for fullstendig helbredelse finnes ikke.

Gliom i synsnerve/synsnervekrysning/hypotalamus

Noen av disse barna kan leve med sin svulst uten synspåvirkning og med god funksjon gjennom mange tiår, mens andre bare vil leve noen få år på grunn av rask svulstutvikling.

Gliomer i synsnerve, synsnervekrysning og hypotalamus hos barn med nevrofibromatose (type 1/type 2) har bedre prognose enn hos barn uten nevrofibromatose.

Bildeeksempel

MR-bilder av 4 år gammel pike med eksofytisk synsbanegliom (pilocytisk astrocytom) før- og etter fjerning av svulst

Svulst i epifyseregionen

Hyppigst i denne regionen er germinalcellevulstene, med tilsvarende variasjon i celletyper (histologisk) som ved testikkelkreft. Germinomer (tilsvarende seminomer i testikkel) utgjør cirka 50 %, og over 90 % av disse pasientene kan helbredes. Prognosen for non-seminomsvulstene er noe dårligere.

Svulst i storhjernen

Prognosen for svulstene i storhjernen er bedre enn for svulstene i bakre skallegrop, fordi bare cirka 25 % er av den mest aggressive typen (høymaligne). I bakre skallegrop utgjør de høymaligne svulstene cirka halvparten av svulstene.

Meningeom (hjernehinnesvulst)

Prognosen hos ikke-nevrofibromatosepasienter er svært god, med relativt sjeldne tilbakefall.

Plexus chorioideus-papillom

Disse svulstene utgjør cirka 5 % av hjernesvulstene og flertallet er papillomer med svært god prognose når svulsten er fjernet. Svulsten er meget karrik, og blødning under operasjon kan være et problem. En liten del av disse svulstene er ondartede og kalles derfor plexuskarsinomer og har en mer usikker prognose. Disse etterbehandles ofte med cellegift og strålebehandling.

Bildeeksempel

MR-bilder av 4 måneder gammel gutt med plexuspapillom før- og etter fjerning av svulst
Les mer om overlevelse
Informasjonen du finner i Kreftlex er utelukkende av generell karakter og erstatter ikke kontakt med, eller undersøkelse og behandling, hos autorisert helsepersonell.
Institutt for kreftgenetikk og informatikk © 2026
Lag en lenke til Kreftlex fra din mobil