Utskriftsdato ()

Bildediagnostiske undersøkelser ved utredning av hjernesvulst

Ved mistanke om hjernekreft er det viktig å få et klart bilde av svulsten, dens plassering og utbredelse. Derfor brukes flere bildediagnostiske undersøkelser i vurderingen av videre behandling.

Foto fra MR-undersøkelse

MR er en undersøkelse hvor det ved hjelp av et kraftig magnetfelt, radiobølger og datamaskin kan fremstilles digitale bilder av kroppen i ulike plan. Det brukes ikke røntgenstråler ved denne type undersøkelse. Stort sett kan alle deler av kroppen undersøkes med MR-teknikk.

Navn på undersøkelsen

Vanligvis kalles undersøkelsen for MR (magnetisk resonans). Andre navn kan være: MT (magnettomografi), MRT (magnetisk resonanstomografi), MRI (MR imaging), NMR (nuclear MR).

Hvorfor gjennomføres undersøkelsen?

Undersøkelsen gjennomføres for å stille diagnose, kartlegge sykdommens utbredelse eller vurdere effekten av en behandling. Den kan også brukes for anatomisk kartlegging, for eksempel før stråleterapi.

MR-undersøkelsen gir mange bilder (snittbilder) av det anatomiske området som skal undersøkes og kan også gi en 3- dimensjonal fremstilling av anatomien. MR-undersøkelser gir spesielt god fremstilling av forandringer i muskulatur, bindevev og sentralnervesystem. I tillegg kan MR fremstille sykdomsforandringer i skjelettet, hjertet, bryster, blodårer, urinveier og bukorganer inklusive tarmsystemet.

Hvordan kan jeg forberede meg?

Sjekkliste

Før undersøkelsen skal skjemaet "Sjekkliste før MR-undersøkelse" fylles ut av den legen som henviser deg til undersøkelsen. Ved ankomst til MR-området, vil du bli stilt lignende spørsmål muntlig for kontroll. Gjenstander av metall kan bli påvirket av det kraftige magnetfeltet eller forårsake forstyrrelser i bildene.

Vi trenger derfor å vite om du har:

  • Pacemaker eller pacemakerelektrode
  • Innoperert høreapparat (cochleaimplantat)
  • Klips på blodkar i hodet
  • Andre innopererte gjenstander i kroppen som kan være av metall (for eksempel stent, plater, proteser, shunt, graft, hjerteklaffer, coiler eller lignende)
  • Metallsplint i øyet og eventuelle tidligere operasjoner i øyet
  • Tatoveringer
  • Innoperert infusjonspumpe (f.eks insulin eller morfin) eller nevrostimulator
  • Arm-, ben- eller leddproteser

Sølvkompress og sinksalve som kan brukes på sår, kan også forstyrre bildetakingen på grunn av metallinnhold. Skal du undersøke hodet må øyenskygge fjernes, da denne kan inneholde små deler av metall som kan gi forstyrrelser på bildene.  Vi trenger også å vite om du er gravid.

Hva du IKKE kan ha med inn i selve MR-rommet 

Metallgjenstander som for eksempel briller, kulepenner, nøkler hårnåler, smykker og mobiltelefoner kan trekkes inn mot apparatet i stor fart og må fjernes før undersøkelsen starter. Det samme gjelder høreapparater og tannproteser som kan forstyrre magnetfeltet, fordi disse kan inneholde metall. Piercinger bør fjernes da de kan bli varme. Klokker, bank- og kredittkort kan ødelegges av magnetfeltet og må derfor ikke være med inn i undersøkelsesrommet. Personalet vil sørge for at disse gjenstandene oppbevares trygt i en sikkerhetsboks.

MR av barn

Undersøkelse av barn foregår på samme måte som på voksne, men med litt forskjellig tilpassing.

Kontrastvæske

I noen tilfeller kan det være aktuelt å gi deg kontrastvæske i en blodåre i armen for at organer eller blodårer skal komme godt fram på bildene. Foruten et stikk i armen, gir dette vanligvis ikke noe ubehag. I noen tilfeller tas det en blodprøve i forkant av undersøkelsen for å vurdere nyrefunksjonen. Det tas spesielle hensyn ved pasienter med nedsatt nyrefunksjon, dialysepasienter og gravide. Skal du undersøke bekkenorganene, kan det også være nødvendig å sette en sprøyte med et medikament som får tarmen til å være rolig en liten stund. Tarmbevegelser kan ellers gi forstyrrelser i bildene.

Gravid/ammende

Ved medisinsk hast gjøres MR av gravide pasienter. Vi er dog særlig tilbakeholdne med MR-undersøkelse av gravide de 3 første månedene, selv om det IKKE er påvist skadelige virkninger av magnetfeltet eller radiobølgene. Kontrastvæsker som brukes i forbindelse med MR-undersøkelser i OUS har ingen betydning for amming. Du kan eventuelt diskutere dette med henvisende lege i forkant av undersøkelsen hvis du likevel ønsker å pumpe deg, slik at du kan kaste brystmelken i 24 timer etter kontrastmiddelinjeksjonen.

Klaustrofobi eller sterke smerter

Det er viktig å ligge stille under undersøkelsen. Det skjer at noen pasienter opplever en klaustrofobisk følelse når de ligger i en MR-maskin. Hvis du har sterk klaustrofobi, kan du før undersøkelsen innta avslappende medisin. Hvis du har sterke smerter, kan du innta smertestillende medisin før undersøkelsen. I god tid før undersøkelsen må du selv avtale med henvisende lege om det er nødvendig å få skrevet ut medisin i forbindelse med dette. Radiologisk avdeling har vanligvis ikke medisiner tilgjengelig. MR-maskinene som brukes til diagnostiske undersøkelser, kan se ut som en maskin med en godt opplyst tunnel i midten hvor pasienten kan ligge. Det finnes også mer "åpne" MR, men ikke til bruk for de mest alminnelige undersøkelser.

Narkose

MR undersøkelser kan i enkelte tilfeller utføres under narkose. Det skal i så fall brukes spesielt narkoseutstyr. MR undersøkelser av små barn blir ofte gjort i narkose.

Påkledning

Du må ta av alt av ditt private tøy, unntatt truse, og du får utdelt en pasientfrakk, skjorte eller morgenkåpe til å ha på.  Verdigjenstander kan låses inn i eget skap.

Mat, drikke og medisin

Du kan vanligvis spise, drikke og ta de medisiner som du pleier før undersøkelsen. Dersom du trenger å faste før undersøkelsen, vil du bli informert om dette i innkallingsbrevet.

Hvordan foregår undersøkelsen?

Under undersøkelsen ligger du på et bord som føres inn i en tunnel/hull i den rørformede maskinen, som er åpen i begge ender og godt opplyst. Stillingen som du skal ligge i, er avhengig av hvilket område av kroppen som skal undersøkes. Personalet sitter i et siderom og følger med hele tiden. Du får en liten ballong (ringeklokke) som du kan klemme på hvis du vil at vi skal komme inn til deg. Du kan dessuten få kontakt med personalet via en høyttaler og en mikrofon. I noen tilfeller blir du bedt om å holde pusten i kortere tid.

Mens bildeopptakene pågår, hører du en bankelyd i maskinen. Det er viktig å ligge stille mens denne bankingen pågår fordi bildene blir uskarpe ved bevegelse. Du vil få utdelt ørepropper/øreklokker som demper bankelyden, og i noen MR maskiner kan du høre på musikk.

Hvis du føler behov for å ha med pårørende, kan disse vanligvis få sitte inne med deg mens undersøkelsen pågår. MR sjekklisten gjelder også for pårørende som skal være i rommet.

Gjør det vondt?

Undersøkelsen gjør ikke vondt i seg selv, men det kan være vanskelig å ligge stille. Det er derfor viktig at vi hjelper deg med å finne en stilling som er behagelig. Du får puter og annen støtte slik at du klarer å ligge stille.

Ved noen undersøkelser er det nødvendig å gi kontrastvæske i en blodåre i armen for at organer eller blodårer skal komme godt fram på bildene. Foruten et stikk i armen, gir dette vanligvis ikke noe ubehag.

Hvor lenge varer undersøkelsen?

Undersøkelsestiden varierer fra 20 minutter til 1 ½  time, avhengig av hvilket område som skal undersøkes og hvor mange bilder som skal tas.

Hva skjer etterpå?

Pasienter som er innlagt på sykehuset kommer tilbake til avdelingen, mens polikliniske pasienter kan reise hjem. Alle bildene blir vurdert av en lege (radiolog) som lager en skriftlig rapport om hva bildene viser. Rapporten blir sendt til den legen som henviste deg. Bilder og rapporten blir lagret i datasystemet.

Når får jeg resultatet?

Legen som har bestilt undersøkelsen får svar fra Klinikk for radiologi og nukleærmedisin. Du får vite resultatet av undersøkelsen fra din egen lege etter avtale.

Forholdsregler etter undersøkelsen

Pasienter som har fått beroligende medikamenter bør ikke kjøre bil hjem selv.

Bivirkninger og komplikasjoner

Selve MR-undersøkelsen gir ingen bivirkninger. Dersom det må gis kontrastvæske, kan dette en svært sjelden gang gi bivirkninger som for eksempel kvalme eller kløe i huden. Ta kontakt med lege dersom du får plagsomme utslett etter undersøkelsen.

MR-undersøkelse og bruk av kontrastmiddel
Har du sterkt redusert nyrefunksjon, kan du få alvorlige bivirkninger etter bruk av MR-kontrastmidler. Derfor tas det særlige forsiktighetshensyn for denne pasientgruppen. MR-kontrastmidler kan brukes etter nøye medisinsk vurdering, i tilfeller der det er nødvendig for å påvise sykdomstilstander. Dersom det er aktuelt å gi deg kontrast i forbindelse med undersøkelsen, vil det i noen tilfeller være behov for å avklare nyrefunksjonen ved hjelp av en blodprøve.

Ofte stilte spørsmål ved MR-undersøkelse

Dette er en generell informasjon. Detaljer aktuelle for din undersøkelse følger med innkallingsbrevet.

Kan man se alle typer sykdommer på MR?

MR kan fremstille de fleste organer i kroppen, men det er ikke alltid at denne type undersøkelse kan fremstille ALT best.  Vanlig røntgen eller CT er i mange tilfeller bedre til undersøkelser av for eksempel skjelett eller lunger. Ofte må flere radiologiske undersøkelsestyper supplere hverandre for å få et tilnærmet sikkert svar på et diagnosespørsmål.

Hva er MR-angiografi (MRA)?

Her fremstilles blodårene i det ønskede område på bildene. For pasienten er undersøkelsen tilsvarende alle andre MR undersøkelser. Noen MR-angiografier gjøres uten injeksjon av kontrastmiddelvæske og andre med. Undersøkelsen gjennomføres blant annet for å kartlegge innsnevringer eller utposninger på blodårene

Hva er MRCP?

Dette er en fremstilling av gallegangene og galleblæren (galleveiene) og/eller gangsystemet i bukspyttkjertelen. For pasienten er undersøkelsen tilsvarende alle andre MR-undersøkelser. Det benyttes ingen kontrastvæske ved MRCP, men pasienten må være fastende.

Hva er cine-MR?

Cine betyr her kinolignende fremstilling av noe som beveger seg. Med cine-MR menes oftest en fremstilling av hjertets bevegelser.

Hva er funksjonell MR (fMRI)?

Med funksjonell MR menes fremstilling av et organs funksjon (ikke bare struktur eller anatomi). Forkortelsen fMRI bruke oftest om fremstilling av hjernens funksjon, hvilket i praksis vil si påvisning av økt aktivitet i deler av hjernen etter stimulering av ulike slag (lyd, lys, bilder, oppgaveløsning osv.). Dette krever spesielt utstyr til MR-maskinen.

Hva er MR-spektroskopi (MRS)?

Dette er en fremstilling av vevets sammensetning ved hjelp av kurver eller fargekart. Relativ mengde av ulike molekyler eller metabolitter (stoffer som inngår i stoffskiftet) kan måles, og dette kan brukes til å påvise sykdom. Pasienten merker ikke forskjell fra en vanlig MR.

Er MR skadelig?

Det er ikke påvist noen form for skadelige effekter ved bruk av MR, men på grunn av den kraftige magnetstyrken, tas de visse forholdsregler som nevnt i denne informasjonen.

Hva er MR-kontrastmiddel/kontrastvæske?

Det finnes flere typer MR-kontrastmidler (kontrastvæske). De fleste inneholder det paramagnetiske metallionet gadolinum.  Kontrastvæske kan være nødvendig for å fremstille blodårer eller visse typer sykdom, men ved mange MR-undersøkelser er kontrastvæske helt unødvendig.

Hva er en åpen MR-maskin?

Det finnes flere typer MR-maskiner. De kan ha ulik styrke på magnetfeltet, og de kan være beregnet til ulike formål. Noen MR-maskiner er små og beregnet til undersøkelse av armer eller ben der resten av kroppen er utenfor maskinen. Størsteparten av MR-maskinene som brukes i Norge er store maskiner som har plass til hele kroppen. I de fleste maskinene ligger pasienten i en sylinder eller tunnel med åpning i begge ender (se bildet). Ved en "åpen MR" forstås en maskin som ikke omslutter hele pasienten - det er én eller to sider som ikke har "vegg"

Ofte stilte spørsmål

Computertomografi (CT) er en avansert form for røntgen hvor bildene fremstiller et snitt gjennom kroppen i flere plan. Hensikten er å stille en diagnose, kartlegge sykdommens utbredelse eller vurdere effekt av behandling.

Computertomografi (CT) framstiller detaljer som ikke er mulig med vanlig røntgen. Det benyttes høyenergi røntgenstråler, og prinsippet er det samme som ved en generell røntgenundersøkelse. Det vil si at stråling kan passere gjennom visse typer vev, og absorberes i andre typer vev. Men i stedet for å sende en enkelt dose stråling gjennom kroppen i en vinkel (som ved vanlig røntgen), sendes strålingen fra forskjellige vinkler.  Ved denne undersøkelsen framstilles detaljer i bløtdeler og skjelett som ikke er mulig ved en vanlig røntgenundersøkelse. Tette vev, som skjelett, absorberer mye stråling. Disse områdene vises som hvite/lyse områder. Bløte vev lar mye av strålingen passere og tegner opp de mørke/sorte områdene i bildet.

Selve CT-maskinen består av en trommel med et røntgenrør og en sensor som sirkulerer rundt objektet som skal avbildes. De strålene som passerer gjennom kroppen treffer sensoren på motsatt side. Undersøkelsesbenken beveger seg kontinuerlig sakte inn og ut av trommelen, slik at hele området avbildes med stor nøyaktighet. Sensoren måler hvor mye stråling som slippes gjennom. Ved hjelp av datateknologi omdannes informasjonen slik at man får en tredimensjonal visuell informasjon om kroppen. Denne informasjonen kan rekonstrueres til snittbilder og dreibare 3D-modeller av for eksempel organer eller blodårer.

CT-undersøkelsen kan gjøres med eller uten kontrastvæske.

Bildeserie av CT-undersøkelse 

Hvorfor gjennomføres undersøkelsen?

Undersøkelsen utføres etter henvisning fra lege, og gjøres for å bekrefte eller avkrefte sykdom. CT gjøres også for å stille diagnose, kartlegge eventuell sykdomsutbredelse, undersøke et område nærmere eller for å vurdere effekt av behandling. CT kan brukes som tilleggsundersøkelse til vanlig røntgen, MR, ultralydundersøkelse, doseplanlegging, PET og intervensjon

Hvordan kan jeg forberede meg? 

Du vil få et innkallingsbrev, hvor det står hva det er du trenger å gjøre av forberedelser før undersøkelsen. Da vil du få vite om du skal faste før undersøkelsen og om du skal ta noen spesielle medisiner, slutte å ta medisiner eller gjøre tarm- eller blæretømming. Ved CT-undersøkelse av mage eller bekken blir du ofte bedt om å drikke vann/kontrastvæske før undersøkelsen. Dette får du når du kommer til røntgenavdelingen. Væsken du drikker gjør at magesekken og tarmene blir bedre avgrenset mot andre vevsstrukturer i kroppen. I innkallingsbrevet vil du også få vite om du skal ha tatt blodprøve (p-kreatinin) før undersøkelsen og om annen informasjon er ønsket. Blodprøven må tas i forkant der det kan bli aktuelt å få kontrastvæske under undersøkelsen.

Det er viktig at du sier fra før undersøkelsen hvis

  • du er gravid
  • har astma eller allergier
  • har nedsatt nyrefunksjon
  • har diabetes og behandles med tabletter som inneholder virkestoffet "Metformin". Dette er preparater med navn som for eksempel "Glucophage", "Orabet" og "Metformin" (Ring da det telefonnummer som står i innkallingsbrevet når du mottar dette, og si også i fra til radiografen som skal undersøke deg på undersøkelsesdagen).

Amming

Overgang av kontrastmiddel til morsmelk er minimal, og du kan ta CT selv om du ammer.

Hvordan foregår undersøkelsen?

CT-maskinen har en stor åpning i midten, og gjennom den flyttes undersøkelsesbenken som du ligger på frem og tilbake, mens røntgenrøret beveger seg inne i maskinen og tar bilder. Ved bildeopptak sendes røntgenstråler gjennom pasienten og det dannes et røntgenbilde på en monitor/ bildeskjerm. Under bildeopptak sitter personalet i et rom ved siden av og følger med via et observasjonsvindu. Noen ganger blir du bedt om å holde pusten og ligge helt i ro, mens maskinen tar bildene. Bildeseriene tar bare noen sekunder hver.

Metall, smykker, piercing og lignende skal ikke være i området som skal avbildes. Ved noen CT-undersøkelser kan det være nødvendig å gi deg kontrastvæske for å fremstille kroppens blodårer og organer best mulig. Kontrastvæsken skal enten drikkes, og/eller settes i en blodåre i armen. Ved CT-undersøkelse av tykktarm settes det vanligvis en liten mengde gass gjennom et tynt plastrør i endetarmen. Ved CT-undersøkelse av bekken hos kvinner, kan det i noen tilfeller være nødvendig med tampong vaginalt. Ved CT-undersøkelse av hjertet eller av hjertets kransårer blir det koplet på EKG elektroder for å registrerer hjerterytmen.

Gjør det vondt?

Selve undersøkelsen gjør ikke vondt, og det er kort tid du skal ligge helt stille på undersøkelsesbenken. Ved innsprøyting av kontrastvæske i blodåren i armen får mange en forbigående varmefølelse i kroppen, som kan variere i styrke. Denne forsvinner raskt igjen. Ved CT-undersøkelse av tykktarm kjennes ofte en trykkfølelse ved innsetting av gass i endetarmen. Ved noen CT-undersøkelser kan det være nødvendig å drikke en del vann eller væske for å få fremstilt øvre mageregion godt. Dette kan for enkelte føles ubehagelig.

Hvor lenge varer undersøkelsen?

Når alle forberedelser er gjort, vil en vanlig undersøkelse sjelden ta mer enn cirka 20 minutter inkludert programmering av CT-maskinen for din undersøkelse. Selve bildetakingen tar bare noen minutter. Spesialprosedyrer kan ta noe lenger tid.

Hva skjer etterpå?

Etter at undersøkelsen er ferdig, blir bildene vurdert av en lege (radiolog). Du vil få vite av personalet på radiologisk avdeling om det er noe spesielt du skal ta hensyn til etter undersøkelsen.

Når får jeg resultatet?

Henvisende lege får svar fra røntgenavdelingen (Klinikk for radiologi og nukleærmedisin). Du får vite resultatet av undersøkelsen fra din lege etter avtale.

Forholdsregler etter undersøkelsen

Vanligvis ingen. Drikk gjerne litt ekstra vann i etterkant av undersøkelsen, for å hjelpe kroppen å skille ut kontrastvæsken. Radiografen vil informere deg om det er andre ting du skal ta hensyn til.

Bivirkninger og komplikasjoner

Vanligvis er det ingen risiko forbundet med denne undersøkelsen. CT-undersøkelsen er tilpasset slik at røntgenstråledosen er så lav som mulig.

Røntgenkontrast gir svært sjelden alvorlige allergi-lignende reaksjoner. I svært sjeldne tilfeller opplever pasienter å få kløende utslett på kroppen opptil en uke etter at å ha fått kontrast. Kjøp i så fall reseptfri allergimedisin, eventuelt kan du kontakte fastlegen din.

Dette er en generell informasjon. Detaljer som er aktuelle for din undersøkelse følger med innkallingsbrevet. Det er egen prosedyre tilgjengelig for CT-undersøkelse av barn.

Hvorfor får noen CT-undersøkelse av for eksempel et kne, mens andre får tatt vanlig røntgenbilde eller MR-undersøkelse?

Noen ganger er vanlig røntgenbilde den beste måte å stille en diagnose på eller fremstille et område på. Andre ganger kan for eksempel ultralyd, MR eller CT være best. Det hender at en kombinasjon av undersøkelsene  kan være aktuelt, for å gi en korrekt diagnose. En radiolog har kunnskap til å vurdere hvilken metode som egner seg best for deg.

Hva er CT- intervensjon?

Det betyr at CT maskinen brukes som et hjelpemiddel til å få tatt for eksempel en vevs- eller celleprøve et presist sted.

Hva er CT-angiografi?

Undersøkelsen gjennomføres for å kartlegge innsnevringer, utposninger på blodårene, lekkasjer mm. Kontrastvæske settes i en blodåre som ved andre CT-undersøkelser. En slik kartlegging er viktig for å kunne ta stilling til ulike behandlingsalternativer.

Hva er CT Colon/tykktarm? (også kalt Kolografi)

CT-undersøkelsen av tykktarm (colon) har stor grad av nøyaktighet for påvisning av polypper og svulster. Under undersøkelsen fylles tykktarmen med luft (CO2). Dette er helt ufarlig og medfører lite smerter fordi CO2 tas raskt opp i kroppen og skilles ut. I tillegg til luft setter vi kontrastvæske i blodåren for å få bedre innsikt i tykktarm og resten av bukorganene.

Ofte stilte spørsmål ved CT-undersøkelse

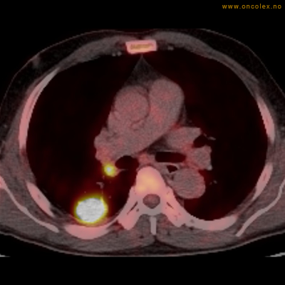
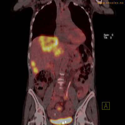
PET/CT (PET: Positron Emisjons Tomografi/ CT: Computer Tomografi) er en avansert nukleærmedisinsk bildetakingsmetode. Metoden er et godt dokumentert, veletablert og svært nyttig verktøy i bildediagnostikk ved kreft. Et PET-kamera gir tredimensjonale bilder av hele kroppen. Integrert CT gjør at informasjonen fra PET blir lokalisert anatomisk nøyaktig.

Kort beskrivelse av undersøkelsen

Gjennom en nål (plastkanyle) i en blodåre i armen vil du få et radioaktivt stoff. Det mest vanlige er radioaktivt druesukker (18F-FDG). Stråling fra det radioaktive stoffet registreres i PET-skanneren og viser hvordan dette stoffet fordeler seg i kroppen. Det normale opptaket av det radioaktive stoffet vil være endret ved sykdomsprosesser. Celler med høyt stoffskite, som for eksempel kreftceller, har økt opptak av sukker. Ved undersøkelsen kan man dermed ofte se større opptak av det radioaktive sporstoffet i kreftsvulster.  Siden CT tas samtidig, kan PET og CT bildene legges sammen og vise nøyaktig hvor i kroppen det økte opptaket er.

Hvorfor gjennomføres undersøkelsen?

PET/CT er til hjelp når vi skal påvise forskjellige sykdommer. Det kan være kreft, nevrologiske sykdommer (for eksempel demens og epilepsi), hjerte- og karsykdommer eller betennelsestilstander. Målet er å få en konkret diagnostikk som gir grunnlag for valg av best mulig behandling.

Ved kreftsykom utføres PET/CT:

  • for å påvise kreft og vurdere hvor utbredt sykdommen er ved diagnosetidspunkt 
  • for å vurdere effekt av pågående cellegiftbehandling
  • for å vurdere effekt av gjennomgått behandling
  • ved mistanke om tilbakefall

Hvordan kan jeg forberede meg?

PET/CT er en dyr og krevende undersøkelse. For å få et best mulig resultat, er det veldig viktig at du leser innkallingsbrevet du har fått nøye. Innkallingsbrevet inneholder mer utfyllende informasjon om PET undersøkelsen du skal til.

  • Du skal ikke ha noen form for fysisk trening siste 24 timer før undersøkelsen.
  • Du må holde deg varm og ikke fryse de siste 24 timene før undersøkelsen.
  • Du skal faste (ikke spise, røyke, bruke snus, tygge tyggegummi/pastiller, bruke munngel/spray) minimum 6 timer før oppmøte. Du skal drikke 2–4 glass rent vann uten smakstilsetninger før oppmøte.
  • Medisiner kan tas som normalt. NB: ved diabetes gjelder spesielle forholdsregler, ta derfor kontakt med oss. Vi ber deg ta med egne smertestillende hvis du bruker dette. Hvis behov kan du få beroligende på sykehuset, men husk at du da ikke kan kjøre bil hjem selv.
  • Ta med liste over faste medisiner du tar.
  • Vi ber om at smykker blir liggende igjen hjemme denne dagen.
  • Barn og gravide skal ikke tas med som ledsager til undersøkelsen.

Hvordan foregår undersøkelsen?

Den praktiske delen av PET/CT undersøkelsen utføres av bioingeniør og radiograf. Du må fjerne smykker og annet metall (for eksempel beltespenne, klokke, mynter i lommer). Vi legger inn en nål (plastkanyle) i armen. For undersøkelser med 18F-FDG vil vi kontrollere sukkerverdien i blodet ditt. Blodsukkeret må være lavere enn 7 mmol/L før hjerne-undersøkelser og under 10 mmol/L (helst under 8 mmol/L) for andre PET- undersøkelser. Du vil få en egen seng der du ligger frem til bildetaking.

Vi setter inn det radioaktive sporstoffet i plastkanylen. Det tar cirka en time før stoffet tas opp i vevet og i denne tiden må du ligge i ro. Det viktig at du ligger avslappet i et stille rom uten å snakke, og unngår alle former for stimuli. Dette gjøres for at opptak av 18F-FDG skal bli optimalt.

Deretter begynner bildetakingen, dette foregår i en scanner i et annet rom. PET/CT-maskinen har en stor åpning i midten, og gjennom den flyttes undersøkelsesbenken som du ligger på frem og tilbake, mens bildene tas. Under selve bildeopptaket må du også ligge helt stille. Under bildeopptak sitter personalet i et rom ved siden av og følger med via et observasjonsvindu og videoskjerm. Bildetakingen tar 15–60 min, avhengig av problemstilling. Det vanligste er i underkant av 30 min.

Gjør det vondt? 

Bortsett fra et stikk i armen i forbindelse med innlegging av plastkanylen, er undersøkelsen som regel ikke forbundet med smerte eller plager. Under avbildningen må du ligge helt i ro, fortrinnsvis med armene over hodet, noe som kan være ubehagelig for enkelte.

Hvor lenge varer undersøkelsen?

Undersøkelsen varer i 2–4 timer

Hva skjer etterpå?

Du reiser hjem eller eventuelt tilbake til avdelingen. Når undersøkelsen er ferdig kan du spise som normalt. Undersøkelsen krever gransking og bearbeidelse av bildene som er tatt, den blir deretter besvart av legen (nukleærmedisiner) og eventuelt radiolog. Resultatet foreligger samme dag eller etter noen dager. Skriftlig svar sendes legen som har henvist deg til oss. Inneliggende pasienter kan vanligvis få svar neste dag via lege på avdelingen. 

Må jeg ta medisiner?

Stort sett kan du ta medisiner som normalt. Dersom du har diabetes er det noen begrensninger på når du kan ta insulin. Dette står det mer om i innkallingsbrevet.

Bivirkninger og komplikasjoner

De radioaktive sporstoffene gir ikke bivirkninger. Våre undersøkelser innebærer små doser radioaktivitet til pasienten, og vil ikke medføre større strålebelastning enn en vanlig røntgenundersøkelse.

Skal jeg til kontroll eller følges opp på noen måte?

Resultatet sendes til din lege som vil følge deg opp videre.

Ofte stilte spørsmål

  • Hvor lenge er jeg "radioaktiv"? Radioaktiviteten forsvinner gradvis ut av kroppen din. Etter 4–5 timer er nesten alt borte.
  • Kan jeg ta andre typer undersøkelser samme dag? Du kan ikke ta nukleærmedisinske undersøkelser (scintigrafi) før neste dag. Andre undersøkelser kan du ta.
  • Kan jeg amme barnet mitt etter undersøkelsen? Ved undersøkelser med 18F-FDG vil ikke det radioaktive sporstoffet gå over i melk. Imidlertid anbefales det at nærkontakt med spedbarn holdes så kortvarig som mulig i inntil 12 timer etter injeksjon. Om praktisk mulig bør derfor også amming unngås i denne perioden. Utpumpet morsmelk kan gis til barnet via flaske. Ved undersøkelser med 68Ga-Dotatoc bør amming avbrytes i 8 timer etter injeksjon av det radioaktive sporstoffet. Eventuell utpumpet melk må kastes.
     

Eksempler på funn

Vev som tar opp mer radioaktivt stoff, synes som hvite områder som lyser opp mer i forhold til annet vev som tar opp mindre sukker.