Utskriftsdato ()

Utredning ved nevroendokrine neoplasmer

Ved utredning av nevroendokrine neoplasmer må pasienten gjennomgå klinisk undersøkelse, laboratorieprøver, bildediagnostiske undersøkelser og ofte vevsprøvetaking. Hensikten er å identifisere svulsten, vurdere hissighetsgrad og kartlegge utbredelse. Dette trengs for å kunne bestemme behandling. Ikke sjelden påvises den nevroendokrine neoplasmen tilfeldig i forbindelse med utredning av en annen tilstand.

Klinisk undersøkelse

Sykehistorien kan gi mistanke om nevroendokrin neoplasme, særlig ved symptomer forårsaket av hormoner. Symptomene er imidlertid oftest lite dramatiske, og sjelden spesielle for nevroendokrin kreft.

Blodprøver

Vanlige blodprøver og leverprøver er ofte normale selv ved svært utbredt sykdom.

Chromogranin A er et protein som kan påvises og måles i blod. Rundt 90 % av alle nevroendokrine svulster skiller ut dette proteinet. Nivået øker med økende svulstmengde. Prøven er svært unøyaktig og kan være forhøyet av svært mange andre årsaker enn nevroendokrin kreft så som bruk av medikamenter mot magesår/sure oppstøt, magekatarr, nyresvikt, leversvikt og ved forstyrrelser i andre hormonproduserende organer. Enkelte andre krefttyper kan også gi forhøyet chromogranin A i blodet. Tolkning av forhøyede chromogranin A-verdier kan derfor være vanskelig og den brukes i stadig mindre grad i utredning og for å følge behandling.

Urinprøve/blodprøve

5-Hydroksy-indol eddiksyre (5-HIAA) er et nedbrytningsprodukt av hormonet serotonin. Hos pasienter med svulster som produserer serotonin kan 5-HIAA påvises i forhøyede mengder i urin og blod. Serotonin kan gi diaré og rødme (flushing). Forhøyet U-5-HIAA finnes oftest ved svulster utgått fra tynntarm og første del av tykktarm. Forhøyede verdier kan også sees ved inntak av enkelte matvarer som bananer, tomater, avokado, sjokolade, ananas, noen legemidler og enkelte andre sykdommer. 

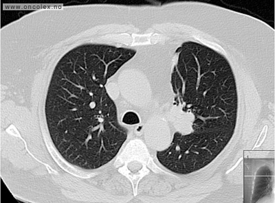
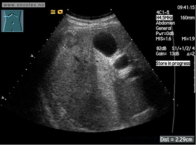
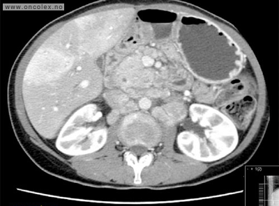
Bildediagnostikk

CT  med kontrast er den mest brukte røntgenundersøkelsen. Kontrastvæsken gis gjennom en kanyle (venflon) i armen. Svulster i leveren synes oftest best på MR. MR eller CT-tynntarm kan påvise nevroendokrine svulster i tynntarmen som ikke ses på vanlig MR/CT.

Bildeeksempler

Positron emisjon tomografi (PET): er en nukleærmedisinsk undersøkelse. Man kan bruke forskjellige typer kontrast som påviser litt forskjellig type kreftsvulster.

68Gallium-PET: ved denne PET metoden vil de aller fleste nevroendokrine svulster påvises ved at kontrasten binder seg til somatostatinreseptorer (mottakere) som finnes på de fleste nevroendokrine svulster.

FDG-PET: Ved denne metoden binder kontrasten seg til andre deler av krefceller. Denne metoden er bedre enn 68Gallium-PET til å påvise nevroendokrine karsinomer.

Endoskopier (slangeundersøkelser, “tarmkikkert”)

  • Gastroskopi er nyttig ved utredning av nevroendokrine svulster i magesekk og tolvfingertarm. Små svulster i magesekken kan fjernes under prosedyren.
  • Ved endoskopisk ultralyd er det et lite ultralydapparat på tuppen av gastroskopet som kan påvise svulster i bukspyttkjertel/tolvfingertarm som ikke synes på CT/MR/ordinær ultralyd.
  • Koloskopi kan påvise svulster i tykktarm og endetarm. Små svulster kan fjernes under prosedyren.

Analyse av vevsprøver

Endelig diagnose baserer seg oftest på undersøkelse av svulstvev under mikroskop. Vevsprøve, biter av kreftsvulsten, tas enten under en operasjon eller ved hjelp av ultralyd der man stikker en hul grov sprøytespiss inn i svulsten og tar med en liten vevsbit ut. Ingen av funnene ved laboratorie- og bildediagnostiske undersøkelser gir 100 % sikker diagnose. Ved en kombinasjon av utseende av svulstvevet i mikroskop og tilsetning av fargestoffer som binder seg forskjellig til forskjellige krefttyper kan patologen oftest fastslå hvilken type kreft som foreligger. Ved hjelp av å anslå differensieringsgrad og Ki-67% kan også svulstens hissighet.