Utskriftsdato ()

Strålebehandling ved nevroendokrine neoplasmer

Utvendig strålebehandling kan ha symptomlindrende effekt ved spredning til skjelettet. Denne strålebehandlingen har ellers ingen plass i behandlingen av nevroendokrine neoplasmer.

Radioaktiv isotopbehandling (Peptid reseptor radionukleid terapi)

Radioaktiv behandling med isotoper (Peptid reseptor radionukleid terapi) kan gis til pasienter som har fått påvist svulster med reseptorer (mottakere) som somatostatin kan binde seg til. Hvorvidt pasientens svulster har disse reseptorene påvises ved bildeundersøkelse 68Gallium-DOTATOC-PET. Radioaktive stoffer sprøytes inn i blodet. Disse fester seg til reseptorer som finnes på cellene i svulsten. De radioaktive stoffene blir sittende og stråler på kreftcellene og kan dermed redusere svulststørrelse og hindre videre vekst. Behandling gis vanligvis 4 ganger med 8 ukers mellomrom. Ofte kan pasienten få behandlingen på dagtid og reise hjem på ettermiddagen.

Det kreves rimelig god allmenntilstand og god benmargs- og nyrefunksjon. Ki-67 skal være under cirka 55 %.

Av de behandlede har over 80 % effekt. Effekten kan ofte vare i flere år.

Vanlige bivirkninger er kvalme og smerte, og de oppstår gjerne tidlig i behandlingsforløpet. Den mest alvorlige bivirkningen er at 2 % utvikler blodkreft (leukemi).

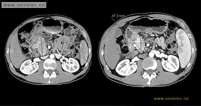
Bildeeksempler behandlingseffekt:

CT-bilder viser effekt etter to enkeltbehandlinger med 177-Lutetiumbehandling på hovedsvulsten i bukspyttkjertelen og en metastase til lever. Det er 4 måneder mellom bildene.
Octreotidscintigrafibilder viser effekt av behandling med 177-Lutetium. Før (venstre) og 1 år etter (høyre). Pasienten sett forfra.