Utskriftsdato ()

Utredning ved svulster utenfor CNS hos barn

Ved mistanke om kreft vil barnets lege gjøre en god klinisk undersøkelelse og det tas ultralyd av buken og røntgen av lungene. Blodprøvetaking inkludert lever- og nyrefunksjonsprøver og infeksjonsstatus gjøres. Dersom resultatene av disse undersøkelsene gir mistanke om kreftsykdom må pasienten utredes videre ved et sykehus med behandlingsansvar for barn med kreft.

Videre utredning avhenger av funn og symptomer, men standard utredning består av:

  • MR/CT av hovedsvulsten
  • CT av lungene
  • skjelettscintigrafi, eventuelt annen aktuell nukleærmedisinsk undersøkelse
  • vanlig urinprøve samt urinprøve med analyse av katekolaminer (VMA,HVA). Katekolaminer er fellesbetegnelse for hormonene adrenalin, noradrenalin og dopamin.
  • tumormarkører i blod: NSE, AFP, hCG
  • celle- og vevsprøve av svulsten (eventuelt fra væske fra pleurahulen/bukhulen)
  • benmargsprøve og vevsprøve

Ved symptomer fra sentralnervesystemet tas MR og eventuelt ryggmargsprøve. PET får økende betydning i den begynnende utredningen av kreftsvulster hos barn. I tillegg tas en rekke analyser i blod på immunologisk status, blødningsforstyrrelser, lever- og nyrefunksjon og liknende.

Det er viktig å undersøke funksjon av kroppsdeler som kan ta skade av kreftbehandlingen før behandlingen starter. Derfor er hørselstest, nyrefunksjonsundersøkelse (GFR) og hjerteundersøkelse nødvendig før intensiv kreftbehandling starter. 

Ved hepatitt hører blodprøver som påviser virus med i utredningen. 

Enkelte germinalcellesvulster produserer tumormarkørene AFP eller hCG.

Det er viktig å huske at nyfødte har fysiologisk høy AFP og naturlig forhøyet AFP kan holde seg ut i 2.leveår. Barn med fyiologisk forhøyete verdier vil ha et fall i AFP på to prøver med minst en ukes mellomrom. 

Alfa føtoprotein (AFP) er høy i mer enn 95 % hos pasienter med hepatoblastom, mens 2/3 av pasientene med hepatocellulært karcinom har økt AFP. Enkelte pasienter med hepatoblastom kan også ha høy hCG.

Les mer om Alfa føtoprotein (AFP)

Ben og bløtvevssarkom

Det er svært viktig at utredningen av sarkom gjøres på spesialiserte sentre med erfaring fra sarkomutredning og sarkombehandling. Sarkom bør mistenkes når det foreligger store svulster dypt i underhuden. 

Undersøkelsene som inngår i utredning og stadieinndeling av sarkom er:

  • klinisk undersøkelse
  • blodprøver
  • røntgen, ultralyd og MR, eventuelt CT av hovedsvulsten
  • røntgen toraks, eventuelt CT toraks
  • vevsprøvetaking
  • benmargsprøve

Det gjøres eventuelt:

  • skjelettscinitigrafi
  • ryggmargsprøve
  • PET 

 

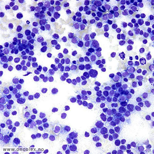
Anayse av celle og vevsprøver

Alle solide svulster hos barn utredes med anayse av celle og vevsprøver. Prøvetaking foregår i narkose. Man begynner alltid med finnålsaspirasjon. Det er vanlig å ta flere prøver med finnål. Deretter tas det vevsprøve med grovnål.

Celle/vevsprøvemateriale brukes så på en optimal måte for å få en spesifikk diagnose. Den primære mikroskopiske undersøkelsen av utstryket er en veiledning for valg av tilleggsmetoder. Her brukes metoder som immuncytokjemi og FISH med flere.

Bildeeksempler

 

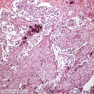
Neuroblastom

En embryonal svulst som utgår fra sympatisk nervevev i det sympatiske nervesystem, som er en del av det viljestyrte nervesystemet. Den er bygget opp av umodne forstadier av ganglieceller. Svulsten kan modne fra et stromafattig neuroblastom, over et ganglioneuroblastom til godartet ganglioneurom.

 

Wilms tumor (Nefroblastom)

Ondartet embryonal neoplasme som utgår fra nefrogene blastemale celler. Det er en sammensatt svulst med en sammensetning av ulike celletyper. Blastemal epitelial  og stroma komponent. Blastemal komponent viser små umodne celler med minimal differensiering, overlapping av kjerner, ofte med flere mitoser.

Epitelial komponent kan vise tubuli, primitive rosetter eller etterligne umodne glomeruli.

Stromakomponent kan bestå av spolformete myofibroblaster over myxoid cellefattig vev, til tverrstripet muskulatur. Sammensatte komponenter (brusk, fett, osteoid, neuroglia) er ikke uvanlig.

 

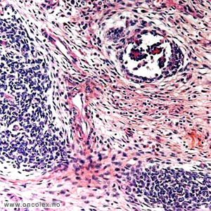
Germinalcellesvulster

Det mikroskopiske bilde av denne type svulst er svært varierende. Det ses godartete svulster, så kalte modne teratomer som kan bestå av mange forskjellige vevstyper.

De ondartete svulstene er også forskjellig av type. (Umodent teratom, dysgerminom, embrionale karsinomer, choriokarsinome)

 

Ondartet leversvulst

Hepatoblastom er her den hyppigste ondartete svulsten og består av umodent levervev. Hos litt eldre barn kan også hepatocellulært karsinom ses.

 

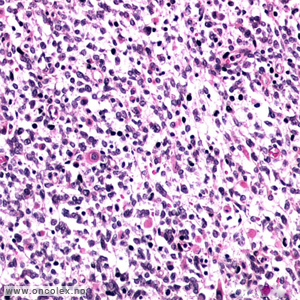
Rhabdomyosarkom

  • Embryonalt rhabdomyosarkom – ondartet svulst med fenotypiske og biologiske egenskaper som embryonal skjelettmuskulatur
  • Alveolært rhabdomyosarkom – ondartet småcellet rundcellet svulst som kan vise partiell differensiering mot skjelettmuskulatur

 

Non-rhabdo bløtvevssarkom

Dette er ondartete svulster som oppstår i annet mesenkymalt vev enn tverrstripet muskel, for eksempel i bindevev, nervevev og fettvev.

 

Osteosarkom

Osteosarkom oppstår i primitive ben-dannende mesenkymal stamceller, ofte i lange metafysen (den utvidede delen i hver ende av rørknokkelen) på lange rørknokler. Mikroskopisk kan de være vanskelig å skille fra andre ondartete småcellete svulster.

Ewing sarkom /pPNET (primitiv neuroektodermal tumor)

Ondartet svulst /sarkom med ulik grad av neuroektodermal differensiering.

Les mer om de ulike svulstene